Original article

Ukrainian Neurosurgical Journal. 2026;32(1):24-39
https://doi.org/10.25305/unj.339535

Endovascular treatment of chronic subdural hematomas

Vadym A. Perepelytsia 1, Yurii V. Cherednychenko 1, Andrii Yu. Miroshnychenko 1, Andrii H. Sirko 2, Rocco A. Armonda 3,4

¹ Endovascular Center, Mechnikov Dnipropetrovsk Regional Clinical Hospital, Dnipro, Ukraine
² Center of Cerebral Neurosurgery, Mechnikov Dnipropetrovsk Regional Clinical Hospital, Dnipro, Ukraine
³ Neuro-endovascular Surgery & Neurotrauma Department, Georgetown University Hospital, Washington, D.C., USA
⁴ Neuro-Critical Care Department, Washington Hospital Center, Washington, D.C., USA

Received: 17 September 2025
Accepted: 06 October 2025

Address for correspondence:
Vadym A. Perepelytsia, Endovascular Center, Mechnikov Dnipropetrovsk Regional Clinical Hospital, Soborna Square, 14, Dnipro, 49044, Ukraine, e-mail: neuro.perepelitsa@gmail.com

Objective: To evaluate the effectiveness of middle meningeal artery embolization (MMAe) in patients with chronic subdural hematoma (cSDH) based on the first 19 clinical cases performed at Mechnikov Dnipropetrovsk Regional Clinical Hospital. To clarify the indications for isolated versus combined treatment of cSDH and to assess the feasibility of the transradial approach.

Materials and methods: A retrospective cohort study was conducted based on the analysis of prospectively collected data from patients with chronic subdural hematomas who underwent MMAe at I.I. Mechnikov Dnipropetrovsk Regional Clinical Hospital between March 24, 2022, and November 6, 2024. The study included 19 patients who underwent endovascular intervention, either as a standalone procedure or in combination with open surgery. Demographic data, etiological factors, clinical presentation, CT, MRI, and DSA findings were analyzed. Treatment effectiveness was assessed at 1, 3, and 6 months postoperatively.

Results: According to the type of treatment, patients were divided into 3 groups: isolated MMAe — 13 patients (68.4%); primary MMAe followed by surgical drainage — 3 patients (15.8%); primary surgical evacuation followed by MMAE — 3 patients (15.8%). Traumatic cSDH was diagnosed in 12 patients (63.2%), while spontaneous cSDH occurred in 7 patients (36.8%), including two cases with mycotic aneurysms of cortical Middle Cerebral Artery (MCA) branches, which were managed with endovascular deconstructive exclusion and subsequent MMAe. One patient with chronic anemia underwent isolated MMAe. Among all patients, 5 (26.3%) were on anticoagulant/antiplatelet therapy, and hemodynamically significant carotid stenosis was identified in 3 patients (15.8%). Follow-up imaging (CT, MRI) at 6 months demonstrated clinical improvement in 100% of cases, with complete hematoma resolution in 17 patients (89.5%).

Conclusions: MMAe has proven to be highly effective and safe in the management of cSDH, both as a stand-alone method and as an adjunct to conventional surgery. The transradial approach demonstrated advantages in elderly and high-risk patients, contributing to reduced hospitalization times. Furthermore, the use of OnyxTM ensured deeper penetration and more durable occlusion of pathological vessels compared to polyvinyl alcohol (PVA) particles. These findings are consistent with current global trends and confirm the promising role of MMAe in cSDH treatment.

Keywords: chronic subdural hematoma; middle meningeal artery embolization; OnyxTM; transradial approach; endovascular neurosurgery; minimally invasive treatment; military neurotrauma

 

Introduction

Chronic subdural hematoma (cSDH) is one of the most common causes of neurosurgical hospitalization among elderly patients and is characterized by a high recurrence rate following standard surgical treatment. The prevalence of cSDH ranges from 13 to 20 cases per 100,000 population, while among individuals older than 65 years it increases four- to fivefold and may exceed 70 cases per 100,000 population. By 2030, the incidence is expected to rise to 121 cases per 100,000 population, driven by population aging and the widespread use of anticoagulant therapy [1,2]. Standard surgical management (burr-hole drainage or craniotomy with evacuation) is effective; however, recurrence rates of 11–20% have been reported, and the need for repeat interventions reaches approximately 14% [1, 3]. These limitations have stimulated the search for less invasive approaches with more durable therapeutic effects.

One of the most promising strategies is endovascular embolization of the middle meningeal artery (MMA). The proposed mechanism of action involves interruption of the blood supply to the neovascularized outer membrane of the hematoma, thereby disrupting the cycle of recurrent microhemorrhages and promoting sustained hematoma resorption. Initially described as a “last-resort” therapy for high-risk patients, accumulating evidence now supports the effectiveness of MMAe both as an adjunct to surgical drainage and as a stand-alone treatment modality [4, 5]. The evidence base has been substantially strengthened by several high-quality randomized controlled trials (RCTs) published in recent years, including studies at the New England Journal of Medicine level. In the EMBOLISE trial (>600 patients across 39 centers in the United States), the addition of MMAe to standard care significantly reduced the rate of treatment failure (defined as recurrence or persistence >10 mm, need for reintervention, or major adverse events) without increasing the risk of stroke or 30-day mortality [6]. In the Chinese MAGIC-MT RCT involving patients with non-acute subdural hematomas, the 90-day rate of symptomatic progression was comparable between MMAe and standard treatment; however, treatment efficacy was found to depend on the clinical context (surgical versus conservative management) [7]. Similarly, Fiorella et al. demonstrated a reduction in treatment failure rates with adjunctive embolization in the RCT STEM [8].

Recent consensus statements have emphasized the evolving role of MMAe in the management of cSDH. The ARISE I consensus (2024) highlighted the need for standardized indications and identified priority directions for future research [9]. A European consensus published in Brain & Spine (2024) further clarified the role of MMAe in both primary and recurrent cSDH, while the NICE Interventional Procedures Guidance IPG779 (2023) formally recognized the procedure as a promising strategy for reducing recurrence, although not as a method for immediate mass-effect relief.

A recent systematic review [23] demonstrated a low incidence of serious complications, with only isolated cases of ischemic events or cranial nerve injury, typically associated with hazardous anastomoses. Multicenter data published in 2025 [10, 21] suggest that preoperative MMAe (performed prior to burr-hole drainage) may reduce the risk of reoperation compared with postoperative embolization, although the optimal timing remains to be confirmed in prospective studies.

An expansion of indications for MMAe is currently observed, extending from recurrent and bilateral cSDH to patients receiving anticoagulant or antiplatelet therapy, as well as minimally symptomatic cases. At the same time, editorial reviews in the Journal of NeuroInterventional Surgery emphasize the need for harmonization of patient selection criteria and outcome measures in future trials [10].

In summary, cSDH remains a significant challenge in contemporary neurosurgery. MMAe has demonstrated efficacy both as an adjunct to standard surgical techniques and as an independent therapeutic option in selected patient populations. Data from recent RCTs, meta-analyses, and international consensus statements confirm its ability to reduce recurrence and reintervention rates while maintaining a favorable safety profile. Nevertheless, unresolved issues regarding optimal patient selection, choice of embolic materials, and perioperative timing underscore the need for further multicenter investigations.

Objective. To evaluate the effectiveness of MMAe in patients with chronic subdural hematoma (cSDH) based on the first 19 clinical cases treated at I.I. Mechnikov Dnipropetrovsk Regional Clinical Hospital; to clarify the indications for isolated versus combined treatment of chronic subdural hematomas and to assess the effectiveness of the transradial approach.

Materials and methods

Study participants

This study is based on an analysis of data from 19 patients with cSDH who underwent X-ray endovascular superselective MMAe between March 24, 2022, and November 6, 2024, at the Endovascular Center of the Dnipropetrovsk Regional Clinical Hospital named after I.I. Mechnikov. Before and after the procedure, the selected patients received treatment at the Cerebral Neurosurgery Center and the Vascular Neurosurgery Center of the same institution.

Written informed consent was obtained from all patients in accordance with the Declaration of Helsinki of the World Medical Association on Ethical Principles for Medical Research Involving Human Subjects (1964, as amended), European Union Directive 86/609 concerning the participation of humans in biomedical research, and Order of the Ministry of Health of Ukraine No. 690 dated September 23, 2009, as amended.

Inclusion criteria:

- patient age ≥18 years;

- presence of chronic subdural hematoma (unilateral or bilateral) confirmed by computed tomography/magnetic resonance imaging (CT/MRI);

- performance of X-ray endovascular superselective MMAe as a standalone procedure or in combination with surgical drainage;

- availability of complete clinical and neuroimaging data before treatment and during follow-up (at least 6 months);

- written informed consent to participate in the study.

Exclusion Criteria:

- patient age <18 years;

- absence of confirmed cSDH (acute or subacute subdural hematomas on CT/MRI);

- presence of other intracranial pathology determining the clinical presentation and requiring an alternative treatment strategy (tumors, acute ischemic stroke, intracerebral hemorrhage, etc.);

- incomplete preoperative or postoperative clinical neuroimaging data;

- lack of follow-up.

Group characteristics

Nineteen patients with cSDH who underwent endovascular MMAe as a standalone intervention or in combination with surgical drainage were included in the study. According to the treatment strategy, patients were divided into three groups: isolated MMAe; primary MMAe followed by surgical treatment; and primary surgical treatment followed by MMAe. The mean patient age was 60.2 years, with a predominance of males. Traumatic etiology of cSDH was the most common, whereas spontaneous forms were less frequent and, in some cases, associated with concomitant vascular pathology. The groups were comparable in terms of age, sex distribution, clinical and neurological status, and baseline neuroimaging characteristics, which allowed for a valid analysis of treatment outcomes with consideration of the selected strategy.

Cranial CT was performed using an “Optima CT660” scanner (GE Healthcare, USA), MRI using a “Toshiba Excelart Vantage” 1.5-T scanner (Japan), and cerebral angiography (CAG) using an “Innova IGS 540” system (GE Healthcare, USA). For selective CAG, the contrast agents “Ultravist 370” (Germany) and “Tomohexol 350” (Ukraine) were used.

Based on CT and/or MRI, hematoma density, number of compartments, size (thickness, height, length), volume, localization, and midline shift were assessed before and after surgery. CAG was used to evaluate the presence of concomitant pathology and the anatomical features of MMA branches on the side of the cSDH.

Indications for X-ray endovascular superselective MMAe included hematoma thickness <15 mm and midline shift <5 mm in the absence of pronounced focal neurological symptoms and/or recurrent cSDH. Indications for combined surgical intervention (embolization + drainage or drainage + embolization) were hematoma thickness ≥15 mm, midline shift ≥5 mm, and the presence of focal neurological deficits [1, 3, 11].

All patients were followed postoperatively under dynamic supervision by a neurologist or family physician. Follow-up CT and MRI examinations were performed at 1, 3, and 6 months after surgery in patients with a stable neurological status.

Study design

A single-center retrospective cohort study with analysis of prospectively collected data.

Surgical technique

In all cases, the procedures were performed via a right-sided transradial approach under local anesthesia by the operating team (operator: Yu.V. Cherednychenko; assistant: V.A. Perepelytsia).

In 18 cases (94.7%), Onyx™ 18 (polymeric embolic agent; ethylene–vinyl alcohol copolymer, Medtronic, Irvine, CA, USA) was used for MMAe. In 1 case (5.3%), polyvinyl alcohol (PVA) particles, 250 μm (e.g., Contour™, Boston Scientific, USA), were selected as the embolic material.

All procedures were performed using a “GE Innova IGS 540” angiographic system (USA). Through a 6 Fr radial introducer, catheterization of the proximal segment of the external carotid artery on the corresponding side was achieved using a 6 Fr guiding catheter. Through the guiding catheter, a dimethyl sulfoxide–compatible microcatheter was advanced over a 0.014-inch microguidewire to catheterize the distal segments of the MMA via the maxillary artery. After superselective catheterization of the MMA and angiographic confirmation of vascularization of the cSDH capsule sources, the embolic agent was gradually injected under fluoroscopic guidance. During injection, the microcatheter was slowly repositioned proximally until complete occlusion of the pathological vascular network was achieved.

Particular attention was paid to monitoring retrograde reflux of the embolic agent to prevent its migration into non-target vascular territories through “dangerous” anastomoses with the internal carotid and ophthalmic artery systems, as well as intertympanic arterial connections. The proximal limit of embolization was defined by the origins of arterial branches arising from the proximal segment of the MMA (petrosal and cavernous branches), which anastomose with the internal carotid artery system via the inferolateral trunk and the meningohypophyseal trunk, as well as the medial branch anastomosing with the ophthalmic artery system. Therefore, for effective embolization, a distal-to-proximal embolization technique was employed, starting from the distal segments of the frontoparietal and petrosquamous branches and progressing proximally to the designated “dangerous” point. The mean procedure duration was 30 minutes.

The entire procedure was accompanied by control series of digital subtraction angiography performed at key stages of the intervention to verify catheter positioning and embolic agent distribution. Vessel catheterization and navigation were conducted using a navigation projection mode, ensuring high-precision positioning of microinstruments.

Statistical analysis

Data processing and analysis were performed using the software packages Statistica 10 (StatSoft® Inc., USA, license No. STA862D175437Q) and MedCalc v.20.218, free trial version (MedCalc SoftwareLtd.,Ostend,Belgium;https://www.medcalc.org/download.php, 2023).

Results

The mean age of patients in our study was lower compared with that reported in the literature—60.2 years [39;85]. The cohort included 12 (63.2%) men and 7 (36.8%) women.

The most common symptoms were headache (94.7%) and dizziness (84.2%). Monoparesis/hemiparesis was detected in 4 (21.1%) cases. Generalized seizures were observed in 2 (10.5%) patients, and speech disorders were identified in 2 (10.5%) cases (dysarthria in 1 patient and sensorimotor aphasia in 1 patient). Two (10.5%) patients presented with impaired consciousness (GCS-12). No asymptomatic cases of chronic subdural hematoma (cSDH) were recorded in our study.

Chronic subdural hematoma was detected by MRI in 7 (36.8%) patients and by CT in 12 (63.2%) patients; of these, 7 (36.8%) subsequently underwent additional MRI evaluation. In all cases, selective digital subtraction cerebral angiography was used for preoperative assessment. Left-sided cSDH was diagnosed in 7 (36.8%) cases, right-sided in 5 (26.3%), and bilateral cSDH in the remaining patients. The majority of hematomas (89.5%) were hemispheric, while 2 (10.5%) were localized in the frontal region. Multiloculated cSDH was identified in 4 (21.1%) cases.

According to T1-weighted brain MRI, the most common signal intensity pattern of cSDH was hyperintensity, observed in 8 (42.1%) patients. Hypointense signal was detected in 3 (15.8%) cases, and heterogeneous signal intensity was also observed in 3 (15.8%) cases.

The mean size of cSDH in our study, expressed as width/length/height, was 14.05/150.23/89.71 mm, with a mean hematoma thickness of 14.05 mm. The mean cSDH volume was 99.9 cm³ (±53 cm³). The smallest hematoma measured 3/65/58 mm with a volume of 11.3 cm³, while the largest measured 30/170/81 mm with a volume of 413.1 cm³. Hematoma thickness was <15 mm in 16 (61.5%) cases and ≥15 mm in 10 (38.5%) cases (including 7 patients with bilateral cSDH). The mean midline shift was 4.16 mm; it was <5 mm in 14 (73.7%) patients and ≥5 mm in 5 (26.3%) patients.

A traumatic etiology of cSDH was documented in 12 (63.2%) cases, including a 41-year-old serviceman who sustained an injury during active combat (clinical case No. 1). Spontaneous subdural hematomas were less frequent. Among 7 (36.8%) such cases, mycotic aneurysms of the cortical (M4) segments of the middle cerebral artery caused ipsilateral cSDH in 2 (10.5%) patients (clinical case No. 2).

In one operated patient with concomitant chronic anemia, only MMAe was performed without surgical drainage. Five (26.3%) patients were receiving antiplatelet/anticoagulant therapy, and hemodynamically significant stenosis of the major cerebral arteries was identified in 3 (15.8%) cases. No intraoperative or postoperative complications were recorded in our study.

According to the treatment modality, patients were divided into the following groups:

- MMAe — 13 (68.4%) cases;

- Primary MMAe followed by surgical drainage — 3 (15.8%) cases;

- Primary surgical treatment followed by MMAe— 3 (15.8%) cases.

Based on follow-up neuroimaging (CT/MRI) performed 6 months after intervention, all patients demonstrated positive dynamics, with complete resolution of cSDH observed in 17 (89.5%) cases.

Clinical Case No. 1

A 41-year-old male military serviceman presented to the I.I. Mechnikov Dnipropetrovsk Regional Clinical Hospital with complaints of headache and dizziness. He had sustained a traumatic brain injury during combat operations on March 9, 2024 (75 days prior to surgery).

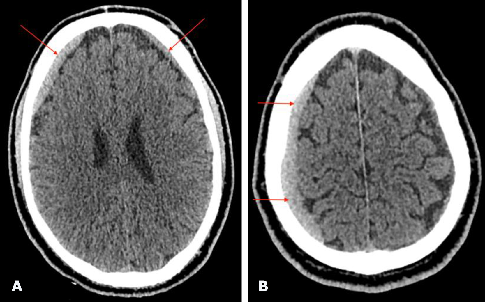
Non-contrast brain CT revealed bilateral chronic subdural hematomas (cSDH) in the frontal regions. The hematoma dimensions (thickness/length/height) were 8/48/48 mm on the left and 9/132/51 mm on the right. No displacement of the midline structures of the brain was detected (Fig. 1).

 

Fig. 1. Preoperative brain CT: A, B—axial projections demonstrating bilateral frontal cSDH (indicated by red arrows)

 

For further evaluation, transradial selective digital subtraction cerebral angiography was performed. No vascular pathology was identified.

Single-session procedures were performed on May 23, 2024: bilateral X-ray endovascular MMAe using the Onyx™ embolic agent (Figs. 2 and 3).

 

Fig. 2. Intraoperative cerebral angiography. Left external carotid artery territory: A - left lateral projection, arterial phase, superselective angiogram of the left MMA; B - left lateral projection, arterial phase, post-embolization state of the left MMA; C - left lateral projection, late arterial phase, post-embolization state of the left MMA; D - left lateral projection without digital subtraction. The left MMA and its branches are indicated by a red arrow, the left maxillary artery by an orange arrow, and the radiopaque cast of the left MMA after Onyx™ embolization by a yellow arrow

 

Fig. 3. Intraoperative cerebral angiography. Right external carotid artery territory: A – left lateral projection, arterial phase; B – left lateral projection, arterial phase, superselective angiogram of the right MMA; C – left lateral projection, late arterial phase, post-embolization state of the right MMA; D – anteroposterior projection without digital subtraction demonstrating the post-embolization state of both MMAs. The right MMA and its branches are indicated by a red arrow, the right maxillary artery by an orange arrow, the radiopaque cast of the right MMA after Onyx™ embolization by a green arrow, and the radiopaque cast of the left MMA after Onyx™ embolization by a yellow arrow

 

The postoperative course was uneventful. The neurological status remained unchanged, and no complications were observed. The patient was discharged from the hospital on postoperative day 2. Follow-up brain CT performed 1 month after surgery (Fig. 4) demonstrated complete resolution of bilateral frontal cSDH. At follow-up examination, regression of global cerebral symptoms was noted.

 

Fig. 4. Postoperative brain CT: A, B – axial projections. Purple arrows indicate the radiopaque embolic agent Onyx™ within the projections of the left and right MMAs

 

Clinical Case No. 2

A 52-year-old man presented to the I.I. Mechnikov Dnipropetrovsk Regional Clinical Hospital with complaints of headache and dizziness that had developed abruptly approximately 1.5 months earlier.

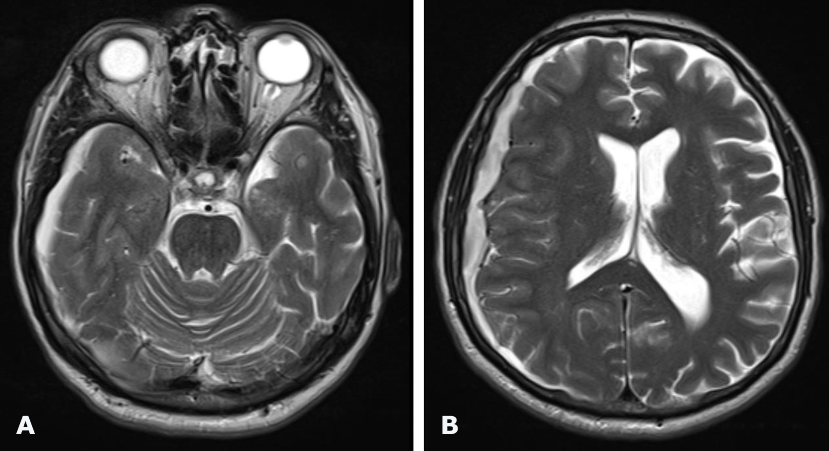
Brain MRI revealed a right-sided hemispheric chronic cSDH with dimensions (thickness/length/height) of 10/166/124 mm and a 4-mm midline shift to the left (Fig. 5).

 

Fig. 5. Preoperative brain MRI, T2-weighted images: A, B – axial projections demonstrating a right-sided hemispheric cSDH

 

Given the spontaneous onset of symptoms, further diagnostic evaluation was performed using transradial selective digital subtraction cerebral angiography. A mycotic aneurysm of the M4 segment of the right middle cerebral artery was identified (Fig. 6).

 

Fig. 6. Preoperative cerebral angiography. Right internal carotid artery territory: A – anteroposterior projection, late arterial phase; B – left lateral projection, arterial phase The red arrow indicates a mycotic aneurysm of the M4-segment of the right middle cerebral artery

 

As a first stage, X-ray endovascular deconstructive embolization of the mycotic aneurysm of the M4-segment of the right middle cerebral artery using detachable microcoils was performed on October 3, 2024 (Fig. 7).

 

Fig. 7. Postoperative cerebral angiography. Right internal carotid artery territory: A – angiogram in the left lateral projection without digital subtraction; B – subtraction angiogram in the left lateral projection, arterial phase; C – subtraction angiogram in the left lateral projection, late arterial phase. The red arrow indicates the excluded aneurysm of the M4-segment of the right middle cerebral artery; the red circle denotes the avascular area after deconstructive exclusion of the arterial aneurysm; blue arrows indicate compensatory arterial blood flow within the territory of the excluded aneurysm

 

In the same session, X-ray endovascular embolization of the right MMA using the Onyx™ embolic agent was performed on October 3, 2024 (Fig. 8).

 

Fig. 8. Postoperative cerebral angiography. Right external carotid artery territory: A – subtraction angiogram in the left lateral projection; B – superselective subtraction angiogram of the MMA in the left lateral projection; C – angiogram in the left lateral projection without digital subtraction. The red arrow indicates the maxillary artery; blue arrows indicate the MMA and its branches; the yellow arrow denotes the contrast-enhanced embolization zone of the MMA; the green arrow indicates microcoils in the projection of the mycotic aneurysm

 

The postoperative course was uneventful. Neurological status remained unchanged. No complications were observed. The patient was discharged from the hospital on postoperative day 2.

Follow-up brain MRI was performed 3 months after surgery (Fig. 9). Complete resolution of the chronic subdural hematoma was observed, with restoration of the normal position of the midline brain structures. On T2-weighted images, a focus of ischemic stroke was visualized in the right frontal lobe within the vascular territory of the excluded branch of the right middle cerebral artery together with the aneurysm. At follow-up examination, no focal neurological deficits were present, and headache and dizziness had resolved.

 

Fig. 9. Postoperative (3-months) brain MRI, T2-weighted images: A, B – axial projections. The red circle indicates a focus of ischemic stroke in the right frontal lobe measuring 19 × 13 mm

 

Clinical Case No. 3

A 45-year-old man presented to I.I. Mechnikov Dnipropetrovsk Regional Clinical Hospital with complaints of headache and dizziness that had been progressively worsening over the preceding 2 weeks. The medical history revealed a domestic head injury sustained on January 5, 2024 (76 days prior to surgery).

Brain MRI demonstrated a right-sided hemispheric multiloculated cSDH with dimensions (thickness/length/height) of 27/165/87 mm and a 5-mm midline shift to the left (Fig. 10).

 

Fig. 10. Preoperative brain MRI, T2 FLAIR sequence: A, B – axial projections demonstrating a right-sided hemispheric multiloculated cSDH

 

For further diagnostic evaluation, the patient underwent transradial selective digital subtraction cerebral angiography. No vascular pathology was identified.

X-ray endovascular embolization of the right MMA using the Onyx™ embolic agent was performed on March 21, 2024 (Fig. 11).

 

Fig. 11. Intraoperative cerebral angiography. Right external carotid artery territory: A – left lateral projection, arterial phase; B – left lateral projection, arterial phase, superselective angiogram of the right MMA; C – left lateral projection, arterial phase, post-embolization state of the right MMA; D – angiogram in the left lateral projection without digital subtraction. The right MMA and its branches are indicated by a red arrow; the right maxillary artery by an orange arrow; the right external carotid artery by a light blue arrow; the microcatheter positioned within the right MMA by a green arrow; the radiopaque cast of the right MMA after Onyx™ embolization by a yellow arrow; and the hazardous anastomotic branches of the MMA by white arrows: 1—medial; 2—sphenoidal; 3—ramus meningolacrimalis

 

The postoperative course was uneventful. Neurological status remained unchanged, and no complications were observed. The patient was discharged from the hospital on postoperative day 2.

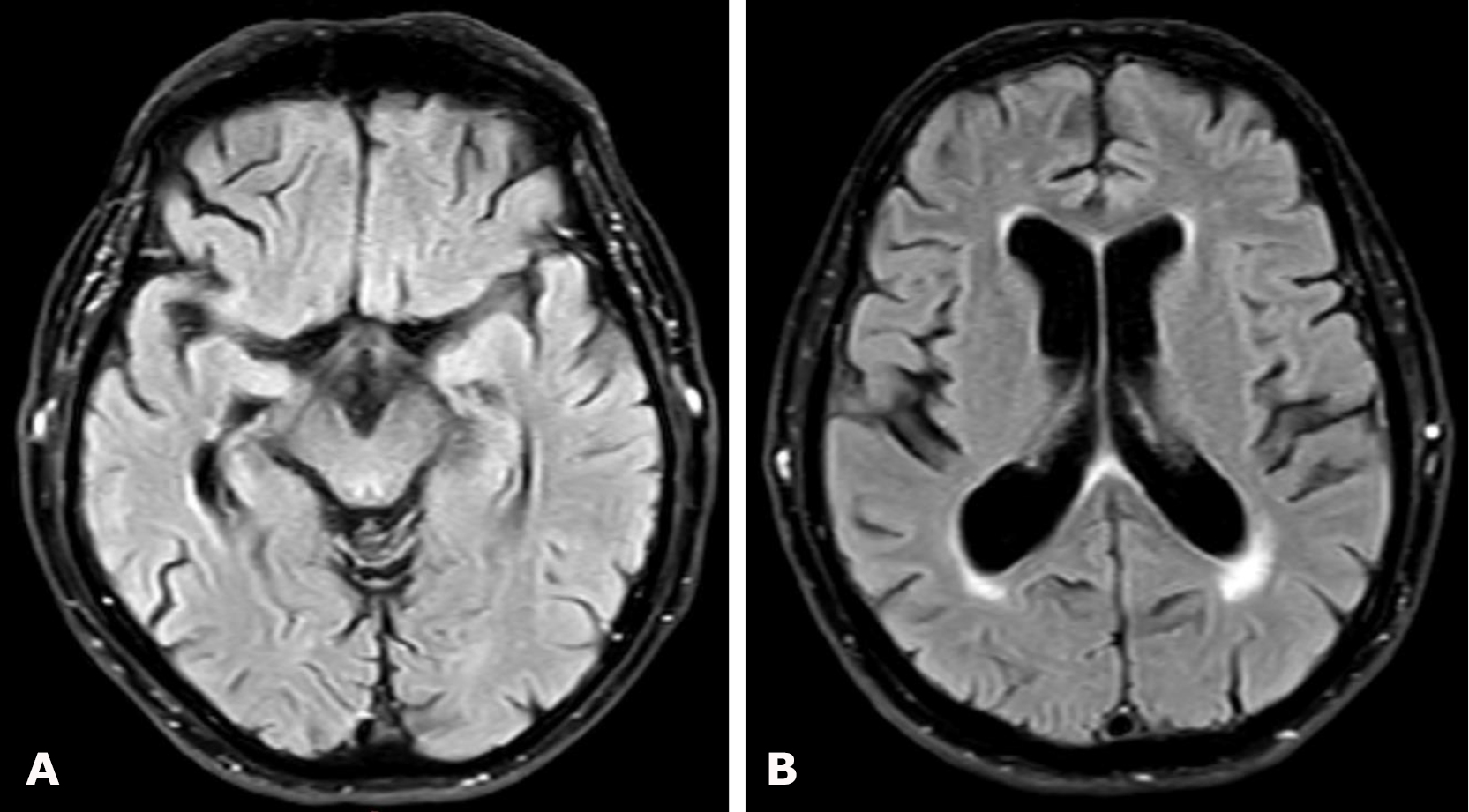
Follow-up brain MRI performed 6 months after surgery (Fig. 12) demonstrated complete resolution of the chronic subdural hematoma with restoration of the normal position of the midline brain structures. At follow-up examination, regression of global cerebral symptoms was noted.

 

Fig. 12. Postoperative brain MRI, T2 FLAIR sequence: A, B – axial projections demonstrating the absence of right-sided chronic subdural hematoma (cSDH)

 

Clinical Case No. 4

A 74-year-old man was transported by an emergency medical team to the emergency and diagnostic department of I.I. Mechnikov Dnipropetrovsk Regional Clinical Hospital with depressed consciousness to the level of deep obtundation (Glasgow Coma Scale score of 12), severe right-sided hemiparesis (grade 2), and elements of sensorimotor aphasia. The medical history revealed a domestic head injury sustained on May 1, 2024 (41 days prior to surgery).

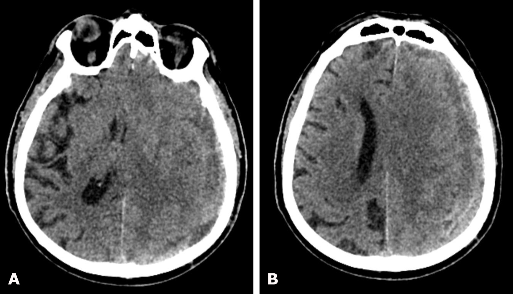
Non-contrast brain CT demonstrated a left-sided hemispheric multiloculated cSDH with dimensions (thickness/length/height) of 17/145/104 mm and an 8-mm midline shift to the right (Fig. 13).

 

Fig. 13. Preoperative brain CT: A, B – axial projections demonstrating a left-sided hemispheric multiloculated cSDH with marked compression and edema of the left cerebral hemisphere

 

Given the CT findings and the severity of the patient’s condition, emergency surgery was performed for life-saving indications: osteoplastic craniotomy in the left parietal region, evacuation of the left-sided multiloculated cSDH, and inflow–outflow drainage of the left subdural space on June 11, 2024 (Fig. 14).

 

Fig. 14. Control brain CT on postoperative day 1: A, B – axial projections. The yellow arrow indicates radiopaque drains of the inflow–outflow drainage system

 

Considering the patient’s comorbid condition (atrial fibrillation), for which anticoagulant therapy had been administered, X-ray endovascular embolization of the left MMA was performed on June 11, 2024, to prevent cSDH recurrence (Fig. 15).

 

Fig. 15. Intraoperative cerebral angiography. Left external carotid artery territory: A – left lateral projection, arterial phase before MMAe; B – left lateral projection, arterial phase after MMAe. The left MMA and its branches are indicated by a red arrow; the left maxillary artery by an orange arrow; the left external carotid artery by a light blue arrow; and the radiopaque cast of the left MMA after Onyx™ embolization by a yellow arrow

 

The postoperative course was uneventful, with gradual improvement in neurological status. No complications were observed. The patient was discharged from the hospital on postoperative day 10.

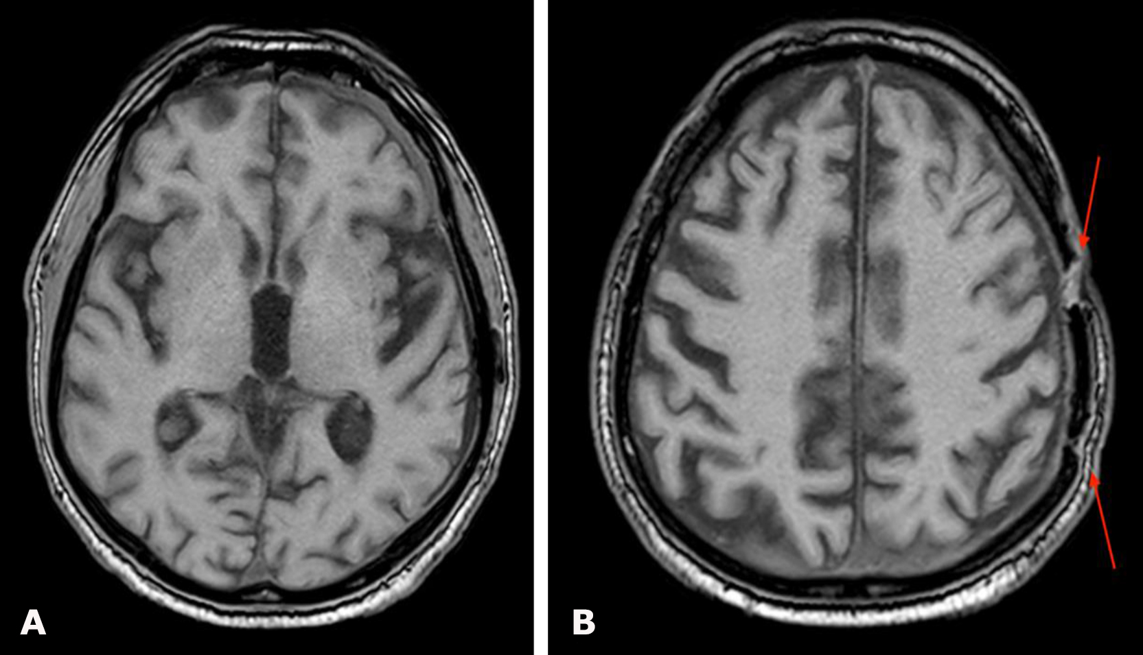
Given the stability of the patient’s condition, follow-up brain MRI was performed 6 months after surgery (Fig. 16). Complete resolution of the left-sided cSDH was demonstrated, indicating the absence of recurrence, along with restoration of the normal position of the midline brain structures. At follow-up examination, the patient was in satisfactory condition without focal neurological deficits.

 

Fig. 16. Postoperative brain MRI, T1-weighted images: A, B – axial projections demonstrating the absence of left-sided cSDH. The red arrow indicates residual changes from the previous craniotomy

 

Discussion

There are no definitive data in the scientific literature regarding the frequency of use or the advantages of transradial versus transfemoral access for MMAe. Some authors [5,12] report that transfemoral access is used in the majority of cases, as it is considered technically convenient and has traditionally been employed in neuroendovascular interventions. In our study, however, a transradial approach was used exclusively in all patients and demonstrated a high safety profile, particularly in elderly patients or those at increased risk of hemorrhagic complications. This approach allowed a reduction in intraoperative risks and a substantial decrease in hospital length of stay. The mean duration of hospitalization was (5.1 ± 2.6) days.

In most studies [5, 13–15], polyvinyl particles (150–250 μm) were used as the primary embolic agent. This is largely explained by their significantly lower cost compared with Onyx™; moreover, in some countries Onyx™ is not available. In addition, polyvinyl embolic material has a simpler technique of use and does not require a dimethyl sulfoxide–compatible microcatheter. Therefore, in many neuroendovascular centers, polyvinyl embolization is considered the gold standard. However, more recent publications [16–18] demonstrate an increasing use of Onyx™, particularly in complex cases or in the presence of high risk. At the Endovascular Center of I.I. Mechnikov Dnipropetrovsk Regional Clinical Hospital, Onyx™ 18 was used for MMAe in 18 patients (94.7%). Owing to its liquid form and slow polymerization, this embolic agent is capable of penetrating small and pathologically altered branches supplying the hematoma membrane, thereby providing more radical obliteration. This property is especially relevant in recurrent and/or multiloculated cSDH. In contrast to polyvinyl particles, which may migrate or be partially washed out over time, the polymer embolic agent forms a monolithic cast that maintains durable occlusion of distal meningeal arterial branches. This reduces the likelihood of distal arterial bed reperfusion via collateral flow from other meningeal arteries and, consequently, increases the effectiveness of vascular blockade of the outer layer of the cSDH capsule.

In addition, Onyx™ contains radiopaque components (tungsten or tantalum powder), allowing real-time fluoroscopic monitoring of its injection, as well as the direction of penetration or reflux. This feature is particularly important for preventing intraoperative risks associated with occlusion of “dangerous” anastomoses with the internal carotid and ophthalmic artery territories, as well as blood supply to the myelin sheaths of cranial nerves (Figs. 11B,C and 17).

 

Fig. 17. Schematic illustration of MMA anastomoses [19]. Before its bifurcation (marked by a purple circle), the petrosal branch (1), from which the superior tympanic artery (2) arises, anastomoses within the middle ear with the caroticotympanic artery (3, from the internal carotid artery), as well as with the inferior tympanic artery (4, from the ascending pharyngeal artery) and the posterior tympanic artery (5, from the occipital artery). On the opposite side, the cavernous branch of the MMA (6) anastomoses with the inferolateral trunk (7) and the meningohypophyseal trunk (13). The inferolateral trunk is connected to the ophthalmic artery (9) via its deep recurrent branch (8). The inferolateral trunk, the MMA, and the ophthalmic artery are also interconnected through the marginal tentorial artery (10), whose origin may vary: from the lacrimal artery (11), via the superficial recurrent branch of the ophthalmic artery (12), or from the meningohypophyseal trunk (13). After bifurcation of the MMA in the pterional region, its frontal branch (14) gives rise to a medial branch (15), which may intracranially divide into the meningolacrimal branch (ramus meningolacrimalis) (16) and the medial sphenoidal artery (17). Both branches connect with the lacrimal artery, although the meningolacrimal artery arises more distally than the sphenoidal branch. Anastomoses with the ophthalmic artery and the inferolateral trunk are the most dangerous during transcatheter MMAe due to the risk of embolization of these arteries. The frontal branch of the MMA reaches the convexity surface along the coronal suture and anastomoses with the anterior falcine artery (18, a branch of the ophthalmic artery—the anterior ethmoidal artery) and with branches of the contralateral MMA (19). The posterior branch of the MMA (20) divides into the petrosquamous branch (21) and the parieto-occipital branch (22). The former anastomoses with the jugular branch (23) of the ascending pharyngeal artery (24) and with the mastoid branch (25) of the occipital artery (26). The latter is connected with the posterior meningeal artery (27), arising from the vertebral artery (28) in the border zones

 

The middle meningeal artery has numerous anastomoses with branches of the internal carotid, ophthalmic, occipital, and ascending pharyngeal arteries. Knowledge of the topography and variability of these anastomoses is crucial for the safe performance of embolization, reduction of neurological complication risk, and improvement of treatment efficacy in cSDH.

In addition to anatomically determined hazardous anastomoses, potential complications related to the access technique and the choice of embolic material should be considered. The transradial approach demonstrated greater safety compared with the transfemoral approach due to a lower risk of local complications, including pulsatile hematomas and pseudoaneurysms at the puncture site, as well as avoidance of the most dangerous complication—retroperitoneal hematoma. The use of soft neuroguidewires and small-diameter microcatheters minimizes the risk of arterial wall perforation, thereby preventing undesirable intracranial hemorrhage or hematoma formation. The use of polyvinyl alcohol particles requires larger-diameter microcatheters, which increases the likelihood of mechanical vessel injury when navigating distal segments. When working from proximal segments, the risk of non-target embolization with small polyvinyl particles increases, whereas the use of larger-diameter particles reduces procedural efficacy due to insufficient penetration into distal portions of the vascular bed.

Thus, the Ukrainian patient series not only confirms the effectiveness of the transradial approach and Onyx™ but also complements contemporary international data regarding the selection of the optimal embolic agent.

Our results are consistent with data from recent randomized trials (EMBOLISE, MAGIC-MT, STEM), which demonstrate a significant reduction in the risk of treatment failure with MMAe [4, 7, 8]. This study is unique in that it demonstrates the feasibility of widespread MMAe in a resource-limited setting, the safety of the transradial approach, and the use of Onyx™ as the primary embolic agent.

The present study is among the first in Ukraine to systematically describe the outcomes of endovascular MMAe for cSDH. The first procedure was performed on March 24, 2022. The experience of I.I. Mechnikov Dnipropetrovsk Regional Clinical Hospital demonstrates that the implementation of modern minimally invasive techniques that improve treatment efficacy and reduce recurrence rates is feasible even under wartime conditions.

Mandatory preoperative selective digital subtraction angiography of all cerebral vascular territories enabled the identification of concomitant pathologies and, in selected cases, the underlying cause of cSDH, which influenced subsequent surgical strategy.

In both patients with spontaneous subdural hematomas in whom mycotic aneurysms of the cortical (M4) segments of the middle cerebral arteries were identified, the surgical strategy included single-session embolization of the mycotic aneurysm as the first stage, followed by MMAe as the second stage. In three other cases, preoperative cerebral angiography revealed severe hemodynamically significant internal carotid artery stenoses in elderly patients. Surgical management in these patients involved a two-stage approach: MMAe as the first stage, followed 1–3 months after clinical stabilization and favorable neuroimaging findings by X-ray endovascular angioplasty with stent implantation and initiation of dual antiplatelet therapy.

Recent literature [5, 20] reports high efficacy of MMAe as a standalone treatment in patients with coagulation disorders or those receiving anticoagulant or antiplatelet therapy. In our study, no patients with overt coagulopathy were included; however, five patients with abnormal coagulation parameters (international normalized ratio >1.2, prothrombin index <90%) receiving anticoagulant or antiplatelet therapy were treated. In two of these patients, MMAe alone was performed.

In 13 patients who underwent embolization alone, the MMA met the following criteria: hematoma thickness <15 mm, midline shift <5 mm, and absence of pronounced neurological symptoms. Only one patient with a multiloculated cSDH had a hematoma thickness of 27 mm and a 5 mm midline shift, taking into account the stable clinical course of the disease (clinical case No. 3).

The group that underwent primary MMAe followed by subsequent drainage included three high-risk patients (cSDH in the setting of anticoagulant/antiplatelet therapy, hematoma thickness ≥15 mm, midline shift ≥5 mm) who nevertheless demonstrated relatively stable neurological status. In these cases, MMAe was performed initially not only to reduce the risk of recurrence but also to devascularize the hematoma capsule and to prevent intraoperative and postoperative hemorrhagic complications during the second stage of surgical treatment.

In three patients, surgical evacuation of cSDH was performed as the first stage for vital indications. Two of these patients had large multiloculated hematomas (thickness >15 mm) with midline shift >5 mm and pronounced focal neurological deficits (clinical case No. 4). The third patient was a military serviceman with a history of blast injury sustained in 2015 and recurrent cSDH, which had been surgically evacuated twice (in 2015 and 2022). During the most recent recurrence in 2024, MMAe was performed after surgical evacuation of the hematoma (23 May 2024). One-year follow-up revealed no recurrence.

Significant limitations of our study include the small sample size (19 patients), which limits statistical power; the single-center and prospective design, which may reduce the level of evidence and limit the generalizability of the findings. Another limitation is the absence of a control group for comparison of MMAe with conventional surgical treatment modalities, which precludes definitive conclusions regarding the superiority of this strategy over “classical” approaches.

The follow-up period was up to 6 months, which, although consistent with current follow-up protocols [3], does not exclude the possibility of late recurrences. In addition, we predominantly used a single embolic agent—Onyx™ 18—thus precluding comparison with polyvinyl particles, which are considered standard in many international series [13, 14].

The economic aspect of Onyx™ use was not sufficiently addressed in our study. This represents an important consideration for healthcare systems, particularly in resource-limited settings, where polyvinyl embolic agents are often used as a cost-effective alternative.

The obtained results confirm the effectiveness and safety of MMAe; however, they require further validation. Prospective multicenter studies with larger patient cohorts are necessary to confirm these findings and enable their extrapolation to different clinical populations.

A second research direction involves comparison of Onyx™ (polymeric embolic agent) and polyvinyl particles as embolization materials in terms of efficacy, complication profiles, and cost-effectiveness, which would allow the development of optimal clinical recommendations.

A third important area is the investigation of long-term outcomes (>12 months), including recurrence rates, cognitive outcomes, and quality of life after treatment.

Current evidence suggests that preoperative MMAe may reduce the risk of repeat interventions as well as intraoperative and postoperative complications, particularly in patients at high risk of bleeding. However, most available data are derived from retrospective cohort studies; therefore, randomized controlled trials are required to compare preoperative and postoperative embolization using standardized endpoints (recurrence, reintervention, quality of life, and cognitive outcomes) [8, 21].

A major challenge remains the lack of unified patient selection criteria. The interdisciplinary ARISE I consensus proposed the creation of registries and the standardization of core outcomes for research. Future studies should separately analyze patients with primary and recurrent cSDH and identify high-risk subgroups, including patients receiving anticoagulant or antiplatelet therapy and those with marked frailty [9, 22]. Particular attention should be paid to antithrombotic management. Patients receiving anticoagulant or antiplatelet therapy represent a complex population in whom the balance between bleeding risk and thromboembolic complications is critical. Available data suggest that MMAe allows for earlier and safer resumption of antithrombotic therapy; however, prospective studies are needed to confirm the safety of early reinstatement of anticoagulant/antiplatelet treatment [8, 23].

Patient-centered outcomes should be a major focus of contemporary research. These include not only recurrence and reoperation rates but also restoration of autonomy, cognitive function, rehospitalization rates, and quality of life. Such metrics are increasingly being incorporated into the latest multidisciplinary guidelines, reflecting a global trend in modern neurosurgery [8,24].

Further development of this field in Ukraine should include the establishment of national clinical protocols adapted to the realities of the domestic healthcare system. A separate research direction may involve analysis of the role of MMAe in the treatment of neurotrauma resulting from military actions, which is particularly relevant under current conditions.

Our results are consistent with contemporary literature, confirming that MMAe may be considered an effective alternative or adjunct to traditional surgical treatment. This topic remains highly relevant in modern neurosurgery, as optimal management strategies for cSDH, including the role of MMAe, continue to be actively debated. Despite the encouraging results of our study, confirmation in larger patient cohorts is required to draw definitive conclusions. Further investigation will enable the development of clear clinical algorithms and improve treatment effectiveness. We are actively working in this direction and plan to continue our research to expand the scientific evidence base.

The authors express their sincere gratitude to Professor Rocco Armonda for his long-standing support and humanitarian assistance, including the provision of microinstruments, Onyx™ embolization material, and microcoils, which made it possible to implement modern endovascular treatment techniques at I.I. Mechnikov Dnipropetrovsk Regional Clinical Hospital. This support enabled the treatment of both military personnel with combat-related injuries and civilian patients with severe neurosurgical conditions.

Special thanks are extended to the organization Razom for Ukraine for its substantial assistance in supplying the hospital with essential consumables required for high-technology interventions. Collaboration with international colleagues and charitable organizations is an extremely important factor in the development of neurosurgery in Ukraine, particularly in the context of full-scale war.

We believe that such initiatives contribute not only to the advancement of clinical practice but also to the integration of Ukrainian neurosurgery into the global medical community, creating a foundation for further scientific research and the implementation of innovative treatment methods.

Conclusions

  1. MMA embolization is an effective and safe treatment modality for cSDH: favorable clinical and radiological outcomes were observed in all patients, with complete hematoma resolution achieved in 89.5% at 6-month follow-up. No intraoperative or postoperative complications were recorded in the cohort of 19 patients.
  2. The transradial approach demonstrated a high safety profile, particularly in elderly patients, and contributed to reduced length of hospital stay. Patients receiving antiplatelet and/or anticoagulant therapy were also treated successfully without an increased risk of recurrence or complications.
  3. The embolic agent Onyx™ 18 demonstrated advantages over polyvinyl particles due to deeper penetration and sustained occlusion of pathological vessels.
  4. Combined treatment strategies (MMA embolization followed by drainage or vice versa) were effective in complex cases (hematoma thickness >15 mm, multiloculated hematomas, midline shift >5 mm). MMA embolization may be used as a standalone treatment in cases of small hematomas without significant mass effect or pronounced neurological deficits.
  5. Preoperative selective digital subtraction CAG enabled the detection of concomitant vascular pathology (mycotic aneurysms, stenosis of major cerebral arteries), which directly influenced treatment strategy.
  6. The presented clinical cases (combat-related trauma, mycotic aneurysm, recurrent cSDH) demonstrate the versatility and adaptability of the technique, and the obtained results are consistent with contemporary international studies (Levitt, 2024; Fiorella, 2025; Gajjar, 2025; Papageorgiou, 2025), confirming global trends in the management of cSDH.

Disclosure

Conflict of Interest

The authors declare no conflicts of interest.

Ethical Approval

All procedures involving human participants were conducted in accordance with the ethical standards of the institutional and national research committees and with the 1964 Declaration of Helsinki and its later amendments or comparable ethical standards.

Informed Consent

Written informed consent was obtained from each patient or a legally authorized representative prior to the procedure.

Funding

This research received no external funding.

References

1. Findlay MC, Holdaway M, Gautam D, Bauer SZ, Gandhoke G, Grandhi R. Cost-minimizing thresholds and recurrence rates in surgical evacuation with adjunctive middle meningeal artery embolization versus evacuation alone. J Neurosurg. 2024 Dec 13;142(5):1457-1464. https://doi.org/10.3171/2024.7.JNS24200

2. Mureb MC, Kondziolka D, Shapiro M, Raz E, Nossek E, Haynes J, Farkas J, Riina HA, Tanweer O. DynaCT Enhancement of Subdural Membranes After Middle Meningeal Artery Embolization: Insights into Pathophysiology. World Neurosurg. 2020 Jul;139:e265-e270. https://doi.org/10.1016/j.wneu.2020.03.188

3. Papageorgiou NM, Palaiodimou L, Melanis K, Theodorou A, Stefanou MI, Tsalouchidou PE, Vlotinou P, Stavrinou LC, Boviatsis E, Magoufis G, Themistocleous M, Sarraj A, Sharma VK, Goyal N, Tsivgoulis G. Embolization of Middle Meningeal Artery in Patients with Chronic Subdural Hematoma: A Systematic Review and Meta-Analysis of Randomized-Controlled Clinical Trials. J Clin Med. 2025 Apr 22;14(9):2862. https://doi.org/10.3390/jcm14092862

4. Levitt MR, Hirsch JA, Chen M. Middle meningeal artery embolization for chronic subdural hematoma: an effective treatment with a bright future. J Neurointerv Surg. 2024 Mar 14;16(4):329-330. https://doi.org/10.1136/jnis-2024-021602

5. Rai AT, Link PS, Lakhani DA. Rising tide of middle meningeal artery embolization for chronic subdural hematomas: current volumes and future growth compared with cerebral aneurysm and stroke interventions. J Neurointerv Surg. 2025 Feb 25:jnis-2025-023109. https://doi.org/10.1136/jnis-2025-023109

6. Davies JM, Knopman J, Mokin M, Hassan AE, Harbaugh RE, Khalessi A, Fiehler J, Gross BA, Grandhi R, Tarpley J, Sivakumar W. Adjunctive middle meningeal artery embolization for subdural hematoma. New England Journal of Medicine. 2024 Nov 21;391(20):1890-900. https://doi.org/10.1056/nejmoa2313472

7. Liu J, Ni W, Zuo Q, Yang H, Peng Y, Lin Z, Li Z, Wang J, Zhen Y, Luo J, Lin Y, Chen J, Hua X, Lu H, Zhong M, Liu M, Zhang J, Wang Y, Wan J, Li Y, Li T, Mao G, Zhao W, Gao L, Li C, Chen E, Cheng X, Zhang P, Wang Z, Chen L, Zhang Y, Tian B, Shen F, Lei Y, Wu Y, Li Y, Duan G, Xu L, Lv N, Yu J, Xu X, Du Z, Zhang H, Hu J, Li Z, Yuan Q, Zhou Y, Wu G, Zhang L, Gao C, Dai D, Wu X, Zhang Y, Jiang H, Zhao R, Su J, Xu Y, Ospel JM, Majoie CBLM, Goyal M, Li Q, Yang P, Gu Y, Mao Y; MAGIC-MT Investigators. Middle Meningeal Artery Embolization for Nonacute Subdural Hematoma. N Engl J Med. 2024 Nov 21;391(20):1901-1912. https://doi.org/10.1056/NEJMoa2401201

8. Fiorella D, Monteith SJ, Hanel R, Atchie B, Boo S, McTaggart RA, Zauner A, Tjoumakaris S, Barbier C, Benitez R, Spelle L, Pierot L, Hirsch JA, Froehler M, Arthur AS; STEM Investigators. Embolization of the Middle Meningeal Artery for Chronic Subdural Hematoma. N Engl J Med. 2025 Feb 27;392(9):855-864. https://doi.org/10.1056/NEJMoa2409845

9. Kan P, Fiorella D, Dabus G, Samaniego EA, Lanzino G, Siddiqui AH, Chen H, Khalessi AA, Pereira VM, Fifi JT, Bain MD, Colby GP, Wakhloo AK, Arthur AS; ARISE I Academic Industry Roundtable. ARISE I Consensus Statement on the Management of Chronic Subdural Hematoma. Stroke. 2024 May;55(5):1438-1448. https://doi.org/10.1161/STROKEAHA.123.044129

10. Gajjar AA, Naqvi A, Chen JY, Custozzo A, Boulos AS, Dalfino JC, Field NC, Paul AR. 2024 middle meningeal artery embolization trials: A comprehensive review of past, recent, and ongoing trials. Interv Neuroradiol. 2025 Apr 4:15910199251329970. https://doi.org/10.1177/15910199251329970

11. Sila D, Casnati FL, Vojtková M, Kirsch P, Rath S, Charvát F. Middle Meningeal Artery Embolization versus Surgery in Patients with Chronic Subdural Hematoma-No More Fence Sitting? Neurol Int. 2023 Dec 6;15(4):1480-1488. https://doi.org/10.3390/neurolint15040096

12. Wang Y, Zhou Y, Cui G, Xiong H, Wang DL. Transradial versus transfemoral access for posterior circulation endovascular intervention: A systematic review and meta-analysis. Clin Neurol Neurosurg. 2023 Nov;234:108006. https://doi.org/10.1016/j.clineuro.2023.108006

13. Ban SP, Hwang G, Byoun HS, Kim T, Lee SU, Bang JS, Han JH, Kim CY, Kwon OK, Oh CW. Middle Meningeal Artery Embolization for Chronic Subdural Hematoma. Radiology. 2018 Mar;286(3):992-999. https://doi.org/10.1148/radiol.2017170053

14. Mishra R, Deora H, Florez-Perdomo WA, Moscote-Salazar LR, Garcia-Ballestas E, Rahman MM, Shrivastava A, Raj S, Chavda V, Montemurro N, Agrawal A. Clinical and Radiological Characteristics for Recurrence of Chronic Subdural Hematoma: A Systematic Review and Meta-Analysis. Neurol Int. 2022 Aug 26;14(3):683-695. https://doi.org/10.3390/neurolint14030057

15. Abdollahifard S, Farrokhi A, Yousefi O, Valibeygi A, Azami P, Mowla A. Particle embolic agents for embolization of middle meningeal artery in the treatment of chronic subdural hematoma: A systematic review and meta-analysis. Interv Neuroradiol. 2024 Feb;30(1):94-104. https://doi.org/10.1177/15910199221125977

16. Ellens NR, Schartz D, Kohli G, Rahmani R, Akkipeddi SMK, Mattingly TK, Bhalla T, Bender MT. Safety and efficacy comparison of embolic agents for middle meningeal artery embolization for chronic subdural hematoma. J Cerebrovasc Endovasc Neurosurg. 2024 Mar;26(1):11-22. https://doi.org/10.7461/jcen.2023.E2023.04.002

17. Sioutas GS, Vivanco-Suarez J, Shekhtman O, Matache IM, Salem MM, Burkhardt JK, Srinivasan VM, Jankowitz BT. Liquid embolic agents for middle meningeal artery embolization in chronic subdural hematoma: Institutional experience with systematic review and meta-analysis. Interv Neuroradiol. 2023 Jun 15:15910199231183132. https://doi.org/10.1177/15910199231183132

18. Shehabeldin M, Amllay A, Jabre R, Chen CJ, Schunemann V, Herial NA, Gooch MR, Mackenzie L, Choe H, Tjoumakaris S, Rosenwasser RH, Jabbour P, Kozak O. Onyx Versus Particles for Middle Meningeal Artery Embolization in Chronic Subdural Hematoma. Neurosurgery. 2023 May 1;92(5):979-985. https://doi.org/10.1227/neu.0000000000002307

19. Bonasia S, Smajda S, Ciccio G, Robert T. Middle Meningeal Artery: Anatomy and Variations. AJNR Am J Neuroradiol. 2020 Oct;41(10):1777-1785. https://doi.org/10.3174/ajnr.A6739

20. Hamou HA, Clusmann H, Schulz JB, Wiesmann M, Altiok E, Höllig A. Chronic Subdural Hematoma. Dtsch Arztebl Int. 2022 Mar 25;119(12):208-213. https://doi.org/10.3238/arztebl.m2022.0144

21. Sioutas GS, Salem MM, Kuybu O, Salih M, Khalife J, Carroll K, Duckworth EA, Vaishnav D, Essibayi MA, Hoang AN, Baker CM, Mendez Ruiz AA, Abecassis Z, Salah WK, Ruiz Rodriguez JF, Charcos I, Cortez GM, Narayanan S, Haim O, Tanweer O, Hanel R, Kan P, Tonetti DA, Nogueira RG, Jovin TG, Altschul DJ, Lang MJ, Srinivasan VM, Jankowitz BT, Thomas AJ, Levitt MR, Ogilvy CS, Gross BA, Burkhardt JK, Grandhi R. Order and Timing of Middle Meningeal Artery Embolization as a Perioperative Adjunct to Surgical Evacuation for Chronic Subdural Hematomas: A Multicenter Study. Radiology. 2025 Apr;315(1):e241571. https://doi.org/10.1148/radiol.241571

22. Bartek J, Biondi A, Bonhomme V, Castellan L, Catapano G, Cenzato M, Di Nuzzo G, De Robertis E, Giordano F, Iaccarino C, Kulcsar Z, Möhlenbruch MA, Raabe A, Rickard F, Romero CS, Schubert T, D S, Sicignano C, Muto M. Multidisciplinary consensus-based statement on the current role of middle meningeal artery embolization (MMAE) in chronic SubDural hematoma (cSDH). Brain Spine. 2024 Nov 19;4:104143. https://doi.org/10.1016/j.bas.2024.104143

23. Shafi M, Badikol SR, Gerstl JVE, Nawabi NLA, Sukumaran M, Kappel AD, Feroze AH, Smith TR, Mekary RA, Aziz-Sultan MA. Complications of Middle Meningeal Artery Embolization: A Systematic Review and Meta-Analysis. World Neurosurg. 2025 Feb;194:123541. https://doi.org/10.1016/j.wneu.2024.11.124

24. Stubbs DJ, Davies BM, Edlmann E, Ansari A, Bashford TH, Braude P, Bulters DO, Camp SJ, Carr G, Coles JP, de Monteverde-Robb D, Dhesi J, Dinsmore J, Evans NR, Foster E, Fox E, Froom I, Gillespie C, Gray N, Grieve K, Hartley P, Lecky F, Kolias A, Jeeves J, Joannides A, Minett T, Moppett I, Nathanson MH, Newcombe VFJ, Outtrim JG, Owen N, Petermann L, Ralhan S, Shipway D, Sinha R, Thomas W, Whitfield PC, Wilson SR, Zolnourian A, Dixon-Woods M, Menon DK, Hutchinson PJ; Improving Care In Elderly Neurosurgery Initiative (ICENI) Working Group. Clinical practice guidelines for the care of patients with a chronic subdural haematoma: multidisciplinary recommendations from presentation to recovery. Br J Neurosurg. 2024 Nov 11:1-10. https://doi.org/10.1080/02688697.2024.2413445

25. National Institute for Health and Care Excellence (UK). IPG 779. Middle meningeal artery embolisation for chronic subdural haematomas. Interventional procedures guidance. 2023 December 14. https://www.nice.org.uk/guidance/ipg779?utm_source=chatgpt.com

26. Carpenter A, Rock M, Dowlati E, Miller C, Mai JC, Liu AH, Armonda RA, Felbaum DR. Middle meningeal artery embolization with subdural evacuating port system for primary management of chronic subdural hematomas. Neurosurg Rev. 2022 Feb;45(1):439-449. https://doi.org/10.1007/s10143-021-01553-x