Original article

Ukrainian Neurosurgical Journal. 2025;31(4):55-60
https://doi.org/10.25305/unj.330969

External ventricular drainage for spontaneous intracerebral hemorrhage with intraventricular hemorrhage: mortality and outcomes in Mali

Youssouf Sogoba 1, Olufemi Bankole 2, Jean Marie Kisito Quenum 3, Seybou Hassane Diallo 4, Boubacar Sogoba 1, Moussa Diallo 1, Moustapha Issa Mangané 5, Almeimoune Hamidou 5, Thierno Madane Diop 5, Oumar Coulibaly 1, Housseini Dolo 6, Mahamoud M Koureissi 6, Drissa Kanikomo 1

1 Departement of Neurosurgery, Gabriel Toure Teaching University Hospital, Bamako, Mali
2 Departement of Neurosurgery, Lagos Teaching University Hospital, Lagos, Nigeria
3 Departement of Neurosurgery, Parakou Teaching University Hospital, Parakou, Benin
4 Departement of Neurology, Gabriel Toure Teaching University Hospital, Bamako, Mali
5 Departement of ICU, Gabriel Touré Teaching University Hospital, Bamako, Mali
6 Departement of epidemiology USTTB, Bamako, Mali

Received: 27 May 2025
Accepted: 21 July 2025

Address for correspondence:
Youssouf Sogoba, Departement of Neurosurgery, Gabriel Toure Teaching University Hospital, Av. Van Vollenhoven, Bamako, Mali, email: sogobayoussouf@yahoo.fr

 

Introduction: Intracerebral hemorrhage (ICH) with intraventricular hemorrhage (IVH) is a serious condition associated with high morbidity and mortality. External ventricular drainage (EVD) is a major tool in the treatment of IVH to manage elevated intracranial pressure and may reduce short-term mortality.

The aim of this study was to determine the impact of EVD placement in the acute phase on mortality and short-term neurologic outcomes in patients with spontaneous ICH associated with IVH.

Materials and methods: We conducted a prospective observational study including adult patients admitted to Gabriel Toure University Hospital over a five year period between January 2019 and December 2023. Demographic, clinical and radiographic characteristics of patients were recorded. All patients who underwent EVD for primary diagnosis of ICH and radiographic evidence of IVH were included. The Graeb score was used to assess the severity of IVH. Outcomes were evaluated using the Glasgow Coma Scale (GCS) and the modified Rankin score (mRS). Statistical analysis was performed to determine independent predictor factors of 30-day mortality using Wilcoxon rank sum test and Fisher’s exact test. P value ≤ 0.05 was considered statistically significant.

Results: During the study period, a total of 63 patients were admitted for spontaneous ICH and IVH was associated in 24 (38.1%) patients. Among them, EVDs were placed in 17 patients. The mean age was 49 years with range of 27 to 66 years. There were 11 males and 6 females. The main risk factors of stroke were hypertension in 13 patients and diabetes in 7 patients. The initial GCS ranged from 5 and 8. Unilateral pupillary dilatation was found in 8 patients. The duration of EVD ranged from 1 to 8 days. The short term mortality rate was 70.5 % at 30 days. The functional outcomes were poor in 4 patients with mRS score of 4 and 5. The independent predictor factors for 30-day mortality were poor GCS (p=0.319), Mydriasis (p=0.245) and poor Graeb score (p=0.004).

Conclusion: The placement of EVD in patient with IVH remains controversial. Our study reveals the high mortality rate in patients with ICH despite this procedure, raising questions about the usefulness of this procedure in our setting. Although our study demonstrated a high mortality rate, patients with appropriate indications undoubtedly require EVD. Complementary and randomized studies are necessary in the future.

Key words: intracerebral hemorrhage; intraventricular hemorrhage; external ventricular drainage; Glasgow Coma Score; functional outcomes

 

Introduction

Intraventricular hemorrhage (IVH) accounts for 40% of intracerebral hemorrhage (ICH) patients and 10% to 15% of all strokes. IVH is predictor of high mortality and poor outcomes [1, 2, 3]. According to the literature the 30-day mortality rate can reach 52 %. Half of those deaths occur in the first 2 days [4, 5, 6]. ICH with IVH causes increased intracranial pressure (ICP). External ventricular drainage (EVD) remains a major tool in the treatment of IVH to manage ICP and may reduce short-term mortality [7, 8, 9]. There is less evidence to guide the management of the EVD in the setting of ICH with IVH and its impact on outcome remains controversial. The aim of this study was to determine the impact of EVD placement in the acute phase on mortality and short-term neurologic outcomes in patients with spontaneous ICH associated with IVH.

Materials and methods

Study participants

We conducted a prospective observational study of adult patients admitted to Gabriel Toure University Hospital between January 2019 and December 2023.

Inclusion criteria

All patients with a primary diagnosis of ICH and radiographic evidence of IVH were included.

Exclusion criteria

Patients with aneurysmal subarachnoid hemorrhage or ICH related to trauma or underlying lesions were excluded as well as patients with Glasgow Coma Scale 3 (GCS) at presentation and bilateral fixed pupillary dilatation.

Group characteristics

Demographic, clinical and radiographic characteristics of patients were recorded. Graeb score was used to assess the severity of IVH. EVDs are considered in patients with GCS ≤ 8. The EVD placement procedure was carried out in the operating room in all cases. EVDs were placed into the frontal horn of the lateral ventricle according to the localization of hematoma in the right or left ventricle. Postoperative CT scan was performed to confirm intraventricular position of the catheter tip.

Study design

Short-term mortality was recorded and outcomes were evaluated using the GCS and the modified Rankin score (mRS).

Statistical analysis

Statistical analysis was performed to determine independent predictor factors of 30-day mortality using Wilcoxon rank sum test and Fisher’s exact test. P value ≤ 0.05 was considered statistically significant.

Results

During the study period, a total of 63 patients were admitted for spontaneous ICH and IVH was associated in 24 (38.1%) patients. Among them, EVDs were placed in 17 patients. The mean age was 49 years with range of 27 to 66 years. There were 11 males and 6 females. The main risk factors of stroke were hypertension in 13 patients and diabetes in 7 patients. The initial GCS was between 5 and 8. Unilateral pupillary dilatation was found in 8 patients (Table 1). EVD was placed in frontal horn in the lateral ventricle in all cases (Fig. 1, 2) and continuous CSF drainage was indicated leading to ventricle size and blood clot removal (Fig. 2, 3). The duration of EVD was 1 to 8 days. Four (23.5%) patients experienced infection as a complication. The short-term mortality rate was 70.5 % at 30 days including 8 males and 4 females with a mean age of 53 years. The functional outcomes were poor in 4 patients with mRS sore of 4 and 5 (Table 2). The independent predictor factors for 30-day mortality (Table 3) were poor GCS (p=0.319), mydriasis (p=0.245) and poor Graeb score (p=0.004).

 

Table 1. Demographic, clinical and CT scan (Graeb score) characteristics of 17 patients with EVD for IVH

Patients

Gender

Age (Years)

Risk factors

Initial GCS

Pupillary abnormalities

Graeb score

1

Female

51

Hypertension

6

Unilateral mydriasis

8

2

Male

60

Hypertension
Diabetes

5

Bilateral mydriasis

10

3

Male

27

 

7

Normal

5

4

Female

49

Diabetes

8

Unilateral mydriasis

8

5

Female

38

Hypertension

8

Normal

7

6

Male

66

Hypertension

7

Normal

9

7

Male

54

Hypertension
Diabetes

8

Normal

9

8

Female

61

Hypertension
Diabetes

6

Bilateral mydriasis

10

9

Male

40

Hypertension

7

Normal

6

10

Male

32

Hypertension

5

Normal

8

11

Male

65

Hypertension
Diabetes

7

Normal

9

12

Male

63

Hypertension
Diabetes

8

Normal

6

13

Male

39

Hypertension

7

Normal

9

14

Female

31

 

7

Normal

4

15

Female

49

Hypertension

5

Normal

6

16

Male

47

Hypertension

8

Unilateral mydriasis

9

17

Male

61

Hypertension
Diabetes

8

Normal

5

 

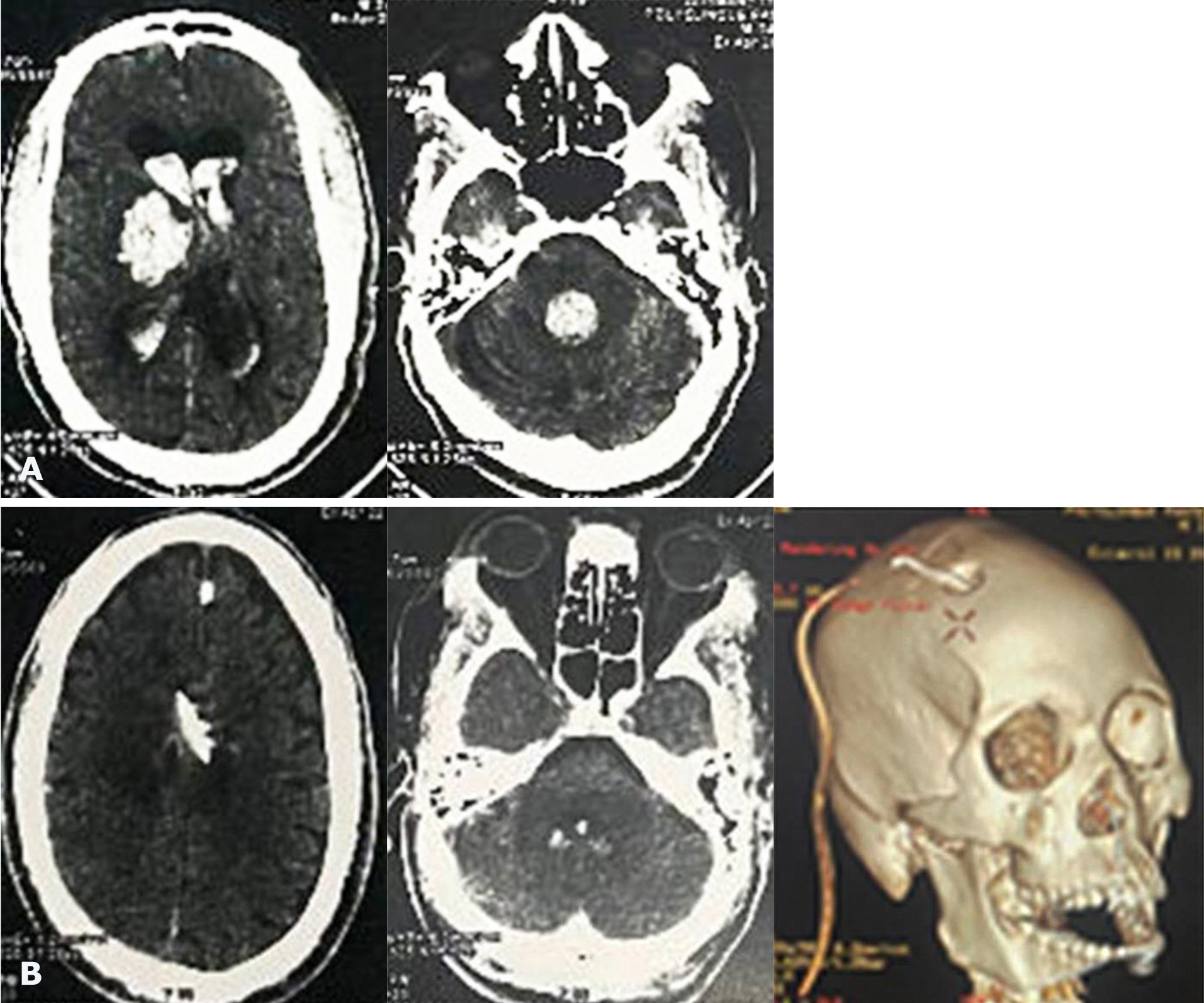
Fig. 1. Preoperative CT scan showing IVH (A), postoperative CT scan showing intraventricular location of the catheter tip (B) and photograph of Patient with EVD in-situ ICU (C)

Fig. 2. Preoperative CT scan showing ICH with IVH (A), and postoperative CT scan showing intraventricular catheter tip in the ventricle as well as the decrease of ventricle size and hematoma (B)

Fig. 3. Preoperative CT scan showing IVH (A) and postoperative CT scan showing the complete evacuation of IVH after EVD (B) with the burr hole in 3D (C)

 

Table 2. Mortality and mRS after 6 months in 17 patients with EVD for IVH

Patients

Duration of EVD (days)

Mortality (day of death)

mRS

1

4

4

-

2

1

1

-

3

5

Alive

2

4

8

21

-

5

5

Alive

4

6

4

14

-

7

5

5

-

8

3

3

-

9

8

Alive

4

10

3

3

-

11

6

18

-

12

5

27

-

13

6

6

-

14

6

Alive

4

15

6

6

-

16

4

12

-

17

5

Alive

5

 

Table 3. Statistical analysis to determine independent predictor factors for short-term mortality

 

Mortality (30 days)

 

Characteristic

Statistic

Died
N = 12

Alive
N = 5

Overall
N = 17

p-value1

Graeb score

Median (Q1 – Q3)

9 (8 – 9)

5 (5 – 6)

8 (6 – 9)

0.004

Gender

 

 

 

 

>0.999

Female

n (%)

4 (33)

2 (40)

6 (35)

 

Male

n (%)

8 (67)

3 (60)

11 (65)

 

Age (years)

Median (Q1 – Q3)

53 (48 – 62)

38 (31 – 40)

49 (39 – 61)

0.057

GCS

Median (Q1 – Q3)

7 (6 – 8)

7 (7 – 8)

7 (6 – 8)

0.319

Pupillary abnormalities

 

 

 

 

0.245

Mydriasis

n (%)

5 (42)

0 (0)

5 (29)

 

Normal

n (%)

7 (58)

5 (100)

12 (71)

 

1Wilcoxon rank sum test; Fisher's exact test

 

Discussion

IVH occurs in approximately 40 % of all ICH. In this condition management of elevated ICP remains the goal of treatment. EVD is the procedure of choice for the treatment of acute hydrocephalus and increased ICP and it is often placed as a life-saving measure. In 1890, Keen [10] first described the technique of catheter placement in the lateral ventricle and in 1918 Dandy [11] published a technique involving anterior and occipital ventricular horn punctures. EVD is usually indicated in patients with GCS<9. According to the literature, EVD may reduce short-term mortality by reducing ICP [7, 8, 9]. However, there is no evidence that EVD improves functional prognosis. There are no consensus criteria for the indication of EVD in the management of ICH with IVH. We conducted this study using the following criteria: IVH, GCS<9. Patients with a GCS score of 3 and bilateral mydriasis were excluded. Patient’s sociodemographic characteristics such as age, sex, comorbidities and risk factors, as well as clinical parameters, including GCS and pupillary abnormalities were taken into account for prognosis. The short-term mortality rate was 70.6% at 30 days. The independent predictor factors of short-term mortality in our study were the mydriasis (p=0.319), the poor GCS (p=0.245) and the poor Graeb score (p=0.004). The decision to place an EVD is multifactorial, including low GCS and the amount of blood in the ventricles. Studies have shown that early intensive care can decrease mortality and improve functional prognosis [12, 13]. Adams et al. [9] concluded that EVD decrease ventricular size but did not affect the level of consciousness of patients. Shapiro et al [14] also concluded that ventriculocisternostomy did not improve prognosis. In a meta-analysis including 7 studies, Nieuwkamp et al. [7] found a slight improvement with EVD, while there was no difference in terms of poor prognosis between EVD and conservative treatment. Staykov et al. [15] reported a mortality of 53% for patients with EVD versus 71% in patients without EVD. There is no prospective and randomized trial addressing the effect of EVD in IVH on clinical outcome. Complications of EVD include complete or partial occlusion and infection. These complications are associated with poor outcome [16]. Infection rate related to EVD was 27.6% in the study of Kirmani et al [17]. In our study, the infection rate was 23.5% despite all EVD placements being performed in the operating room. EVD placement using endoscopy optimizes catheter position and allows aspiration of the blood clot, whereas freehand placement of EVD without the use of imaging guidance may be associated with misplacement of the catheter tip in the ventricle. In their study, Nawabi et al. [18] reported that only 78% of EVDs were placed successfully on the first pass without the use of imaging guidance. All EVDs were placed freehand in our study with accurate placement of the catheter tip in the ventricle confirmed by postoperative CT scan. We do not have access to intraoperative imaging guidance. Nevertheless, freehand placement of EVD is safe as long as the intracranial anatomy is not disfigured to a large extent, surface measurements are carried out precisely and the puncturing is done perpendicularly to the skull [19]. According to a meta-analysis including 680 patients, neuroendoscopy is more effective than EVD combined with intraventricular thrombolysis in terms of both hematoma evacuation and prognosis [20]. Neuroendoscopic evacuation of IVH improves outcomes compared with EVD according to a systematic review with meta-analysis by Mezzacappa et al. [21] Haldrup et al. [22] found that EVD associated with fibrinolysis promoted hematoma clearance and decreased mortality and improved good functional outcomes. Furthermore, EVD combined with continuous lumbar drainage has been reported to improve the prognoses and quality of life in patients with IVH [23]. In our study, there was no endoscopy or thrombolysis associated with EVD placement.

Our study is limited by the relatively small numbers achieved over the period. Additionally, patients were not randomized making it difficult to determine whether the impact of placing the EVD in our setting was positive or negative. Also, being a single institution study, it is difficult to generalize the findings.

Conclusion

The placement of EVD in patient with IVH remains controversial. Our study reveals the high mortality rate in patients with ICH despite this procedure, prompting questions about the usefulness of this procedure in our setting. Although our study demonstrated a high mortality rate, patients with appropriate indications undoubtedly require EVD. Complementary and randomized studies are necessary in the future.

Disclosure

Conflict of interest

The authors declare no conflicts of interest and no personal financial interest in the preparation of this article

Informed consent

Informed and voluntary written consent to participate in the study and publication of data was obtained from all patients.

Funding

Not applicable

References

1. Steiner T, Diringer MN, Schneider D, Mayer SA, Begtrup K, Broderick J, Skolnick BE, Davis SM. Dynamics of intraventricular hemorrhage in patients with spontaneous intracerebral hemorrhage: risk factors, clinical impact, and effect of hemostatic therapy with recombinant activated factor VII. Neurosurgery. 2006 Oct;59(4):767-73; discussion 773-4. https://doi.org/10.1227/01.NEU.0000232837.34992.32

2. Diringer MN, Edwards DF, Zazulia AR. Hydrocephalus: a previously unrecognized predictor of poor outcome from supratentorial intracerebral hemorrhage. Stroke. 1998 Jul;29(7):1352-7. https://doi.org/10.1161/01.str.29.7.1352

3. Tuhrim S, Dambrosia JM, Price TR, Mohr JP, Wolf PA, Heyman A, Kase CS. Prediction of intracerebral hemorrhage survival. Ann Neurol. 1988 Aug;24(2):258-63. https://doi.org/10.1002/ana.410240213

4. Badjatia N, Rosand J. Intracerebral hemorrhage. Neurologist. 2005 Nov;11(6):311-24. https://doi.org/10.1097/01.nrl.0000178757.68551.26

5. Binz DD, Toussaint LG 3rd, Friedman JA. Hemorrhagic complications of ventriculostomy placement: a meta-analysis. Neurocrit Care. 2009;10(2):253-6. https://doi.org/10.1007/s12028-009-9193-0

6. Ehtisham A, Taylor S, Bayless L, Klein MW, Janzen JM. Placement of external ventricular drains and intracranial pressure monitors by neurointensivists. Neurocrit Care. 2009;10(2):241-7. https://doi.org/10.1007/s12028-008-9097-4

7. Nieuwkamp DJ, de Gans K, Rinkel GJ, Algra A. Treatment and outcome of severe intraventricular extension in patients with subarachnoid or intracerebral hemorrhage: a systematic review of the literature. J Neurol. 2000 Feb;247(2):117-21. https://doi.org/10.1007/pl00007792

8. Engelhard HH, Andrews CO, Slavin KV, Charbel FT. Current management of intraventricular hemorrhage. Surg Neurol. 2003 Jul;60(1):15-21; discussion 21-2. https://doi.org/10.1016/s0090-3019(03)00144-7

9. Adams RE, Diringer MN. Response to external ventricular drainage in spontaneous intracerebral hemorrhage with hydrocephalus. Neurology. 1998 Feb;50(2):519-23. https://doi.org/10.1212/wnl.50.2.519

10. Keen W. Surgery of the lateral ventricles of the brain. Lancet. 1890; 136 (3498):553-5. https://doi.org/10.1016/S0140-6736(00)48676-9

11. Dandy WE. VENTRICULOGRAPHY FOLLOWING THE INJECTION OF AIR INTO THE CEREBRAL VENTRICLES. Ann Surg. 1918 Jul;68(1):5-11. https://doi.org/10.1097/00000658-191807000-00002

12. Mirski MA, Chang CW, Cowan R. Impact of a neuroscience intensive care unit on neurosurgical patient outcomes and cost of care: evidence-based support for an intensivist-directed specialty ICU model of care. J Neurosurg Anesthesiol. 2001 Apr;13(2):83-92. https://doi.org/10.1097/00008506-200104000-00004

13. Becker KJ, Baxter AB, Cohen WA, Bybee HM, Tirschwell DL, Newell DW, Winn HR, Longstreth WT Jr. Withdrawal of support in intracerebral hemorrhage may lead to self-fulfilling prophecies. Neurology. 2001 Mar 27;56(6):766-72. https://doi.org/10.1212/wnl.56.6.766

14. Shapiro SA, Campbell RL, Scully T. Hemorrhagic dilation of the fourth ventricle: an ominous predictor. J Neurosurg. 1994 May;80(5):805-9. https://doi.org/10.3171/jns.1994.80.5.0805

15. Staykov D, Bardutzky J, Huttner HB, Schwab S. Intraventricular fibrinolysis for intracerebral hemorrhage with severe ventricular involvement. Neurocrit Care. 2011 Aug;15(1):194-209. https://doi.org/10.1007/s12028-010-9390-x

16. Gu C, Lind ANR, Haldrup M, Eschen JT, Eskildsen MH, Kjær A, Rasmussen M, Dyrskog S, Meier K, Simonsen CZ, Debrabant B, Korshøj AR. Outcomes and complications of external ventricular drainage in primary and secondary intraventricular hemorrhage: a descriptive observational study. J Neurosurg. 2025 Jan 3;142(6):1599-1605. https://doi.org/10.3171/2024.8.JNS24915

17. Kirmani AR, Sarmast AH, Bhat AR. Role of external ventricular drainage in the management of intraventricular hemorrhage; its complications and management. Surg Neurol Int. 2015 Dec 23;6:188. https://doi.org/10.4103/2152-7806.172533

18. Nawabi NLA, Stopa BM, Lassarén P, Bain PA, Mekary RA, Gormley WB. External ventricular drains and risk of freehand placement: A systematic review and meta-analysis. Clin Neurol Neurosurg. 2023 Aug;231:107852. https://doi.org/10.1016/j.clineuro.2023.107852

19. Brenke C, Fürst J, Katsigiannis S, Carolus AE. High accuracy of external ventricular drainage placement using anatomical landmarks. Neurochirurgie. 2020 Dec;66(6):435-441. https://doi.org/10.1016/j.neuchi.2020.09.009

20. Li Y, Zhang H, Wang X, She L, Yan Z, Zhang N, Du R, Yan K, Xu E, Pang L. Neuroendoscopic surgery versus external ventricular drainage alone or with intraventricular fibrinolysis for intraventricular hemorrhage secondary to spontaneous supratentorial hemorrhage: a systematic review and meta-analysis. PLoS One. 2013 Nov 13;8(11):e80599. https://doi.org/10.1371/journal.pone.0080599

21. Mezzacappa FM, Weisbrod LJ, Schmidt CM, Surdell D. Neuroendoscopic Evacuation Improves Outcomes Compared with External Ventricular Drainage in Patients with Spontaneous Intraventricular Hemorrhage: A Systematic Review with Meta-Analyses. World Neurosurg. 2023 Jul;175:e247-e253. https://doi.org/10.1016/j.wneu.2023.03.061

22. Haldrup M, Miscov R, Mohamad N, Rasmussen M, Dyrskog S, Simonsen CZ, Grønhøj M, Poulsen FR, Bjarkam CR, Debrabant B, Korshøj AR. Treatment of Intraventricular Hemorrhage with External Ventricular Drainage and Fibrinolysis: A Comprehensive Systematic Review and Meta-Analysis of Complications and Outcome. World Neurosurg. 2023 Jun;174:183-196.e6. https://doi.org/10.1016/j.wneu.2023.01.021

23. Xia D, Jiang X, Li Z, Jin Y, Dai Y. External ventricular drainage combined with continuous lumbar drainage in the treatment of ventricular hemorrhage. Ther Clin Risk Manag. 2019 May 30;15:677-682. https://doi.org/10.2147/TCRM.S207750