Original article

Ukrainian Neurosurgical Journal. 2025;31(3):37-44
https://doi.org/10.25305/unj.330933

Invasive monitoring of arterial blood pressure in cerebral arteries during thrombectomy

Andrii M. Netliukh 1,2, Andrian A. Sukhanov 1,2

1 Department of Neurology and Neurosurgery, Faculty of Postgraduate Education, Danylo Halytsky Lviv National Medical University, Lviv, Ukraine
2 Department of Neurology and Vascular Neurosurgery, Municipal Non-Profit Enterprise "First Territorial Medical Association of Lviv", Lviv, Ukraine

Received: 26 May 2025
Accepted: 21 June 2025

Address for correspondence:
Andrian A. Sukhanov, Department of Neurology and Vascular Neurosurgery, Municipal Non-Profit Enterprise "First Territorial Medical Association of Lviv", 9 Ivan Mykolaychuk St., Lviv, 79000, Ukraine, email: sukhanov.andrian@gmail.com

 

Objective: to assess the arterial blood pressure measured invasively in the internal carotid artery and distal to the site of thrombotic occlusion (in the middle cerebral artery) during mechanical thrombectomy in patients with acute ischemic stroke.

Materials and methods: In 2024, a total of 90 patients with acute cerebrovascular occlusion who underwent thrombectomy were examined. Data from 23 patients in whom intraoperative arterial  pressure (AP) was measured invasively were analyzed. Patient age ranged from 44 to 81 years, with a mean age of 66.3±10.4 years. The majority of patients were male (61%). Stroke severity was assessed using the National Institutes of Health Stroke Scale (NIHSS), and functional outcomes were evaluated using the modified Rankin Scale (mRS) at discharge (0–3 points – favorable outcome, 4–6 points – unfavorable outcome). Ischemic changes were graded according to the Alberta Stroke Program Early CT Score (ASPECTS), with ≤7 points indicating extensive changes and ≥8 points indicating moderate changes.

Results: No statistically significant differences were found in AP levels in the internal carotid artery before and after thrombectomy depending on the degree of neurological deficit, volume of ischemic changes, or functional outcome (p>0.1). The mean AP measured distal to the site of occlusion was significantly higher in patients with NIHSS scores ≤15 compared to those with NIHSS scores>15 ((59.7±4.7) vs. (51.0±10.9) mm Hg, p=0.02), in patients with moderate ischemic changes ((58.5±5.4) vs. (44.3±11.9) mm Hg, p=0.03), and in those with a favorable functional outcome ((59.2±5.5) vs. (49.0±11.1) mm Hg, p=0.02). The mean AP in the internal carotid artery after thrombectomy was significantly higher in patients with hemorrhagic transformation ((114.4±9.0) vs. (100.4±13.4) mm Hg, p=0.01).

Conclusions: A correlation was found between the mean AP levels, measured invasively in intracranial arteries at various stages of mechanical thrombectomy for acute ischemic stroke, and stroke severity, infarct volume, development of hemorrhagic transformation, and functional outcome. These findings highlight the importance of investigating local hemodynamics to predict treatment outcomes in acute ischemic stroke and to explore personalized AP management strategies during thrombectomy and in the early postoperative period.

Keywords: acute ischemic stroke; mechanical thrombectomy; cerebral perfusion pressure monitoring; hemorrhagic transformation; cerebral edema

 

Stroke is often a leading cause of disability and remains one of the primary causes of mortality worldwide [1]. Over the past decade, a number of large clinical trials have confirmed the efficacy of mechanical thrombectomy (MT) compared to standard medical therapy, particularly intravenous thrombolysis using tissue plasminogen activator (tPA). The effectiveness of MT has been demonstrated in patients with acute ischemic stroke (AIS) caused by large vessel occlusion in the anterior circulation [2]. Despite similar clinical and radiological manifestations, MT outcomes may vary significantly among different patient groups [3]. Elevations in systolic or diastolic AP are observed in up to 80% of patients following AIS, even among those without a prior history of hypertension. This may reflect a stress response or a compensatory mechanism to maintain cerebral perfusion [4].

Contemporary studies have identified AP and collateral circulation as key factors in maintaining cerebral blood flow and influencing clinical outcomes [5]. Collaterals play a critical role in sustaining perfusion to brain regions distal to the arterial occlusion. They are particularly important in the acute phase of ischemic stroke prior to recanalization therapy [6].

The literature presents conflicting data on the relationship between baseline AP, collateral status, and the efficacy of endovascular treatment of ischemic stroke. While some researchers suggest a compensatory benefit of elevated AP [7], others report a detrimental effect [8]. Most studies have focused on systemic AP measurements, whereas the hemodynamic state of cerebral vessels distal to the thrombus remains underexplored [9]. This local pressure may be vital to understanding the pathophysiological processes in the ischemic zone and could help predict the success of endovascular interventions and patients’ functional recovery [10]. Invasive intra-arterial AP monitoring is standard practice in intensive care units abroad and is also frequently utilized during surgery to obtain beat-to-beat AP readings. For critically ill patients, intra-arterial monitoring facilitates frequent blood sampling and assists in the differential diagnosis of certain pathological conditions. It is an additional tool that experienced clinicians can use to improve patient management [11].

Special attention has been given to the role of AP in the development of hemorrhagic transformation (HT) following reperfusion therapy. According to the literature, both excessive hypertension and rapid AP reduction after reperfusion are associated with an increased risk of intracerebral hemorrhage [12]. Data from E.A. Mistry et al. (2019) indicate that systolic AP>180 mmHg within the first 24 hours after MT is associated with a higher risk of symptomatic HT and poorer functional outcomes [13]. Other studies emphasize that not only absolute AP values but also AP variability are important: increased variability may disrupt the blood–brain barrier and contribute to secondary brain injury [14].

Establishing correlations between hemodynamic parameters and clinical as well as radiological indicators (infarct volume, severity of neurological deficit, collateral status, and presence of HT may, in our view, provide a better understanding of the mechanisms of cerebral autoregulation, collateral blood flow, and changes in blood–brain barrier permeability during ischemic injury. The obtained data may contribute to the individualization of AP management strategies during the in-hospital stage, taking into account local cerebral perfusion pressure, the degree of neurological deficit, and the risk of HT.

Objective: to assess the level of arterial pressure measured invasively in the internal carotid artery and distal to the site of thrombotic occlusion (in the middle cerebral artery) during mechanical thrombectomy in patients with acute ischemic stroke.

Materials and methods

Study participants

In 2024, a total of 90 patients with acute cerebrovascular occlusion who underwent mechanical thrombectomy were examined. Data from 23 patients, in whom intraoperative invasive AP monitoring was performed, were analyzed. Patient age ranged from 44 to 81 years, with a mean age of 66.3±10.4 years. The majority of participants were male (61%).

Informed and voluntary written consent for participation in the study and publication of the data was obtained from all patients or their legal representatives. The study was approved by the Ethics Committee of the Municipal Non-Profit Enterprise "First territorial medical association of Lviv" (Minutes  No. 13, dated 08.09.2022). The research complies with the principles of the Declaration of Helsinki.

Inclusion Criteria

The study included patients with AIS confirmed by computed tomography data (Alberta Stroke Program Early CT Score [ASPECTS] ≥ 6 points), who underwent MT, and in whom invasive AP monitoring in the internal carotid artery (ICA) and distal to the occlusion site was technically feasible.

Group Characteristics

The severity of patients’ condition at admission was assessed using the National Institutes of Health Stroke Scale (NIHSS). Based on NIHSS scores, patients were divided into groups with moderately severe (NIHSS ≤15 points, 10 patients) and severe (NIHSS>15 points, 13 patients) neurological deficits. A score<4 points on the NIHSS is considered a minor stroke, 5–15 points indicate a moderate stroke, 16–20 points a severe stroke, and ≥21 points a very severe stroke.

To diagnose ischemic stroke, all patients underwent non-contrast brain CT using a Philips Ingenuity CT 2019 scanner (Philips Healthcare [Suzhou] Co., Ltd., Suzhou, China). Early ischemic changes were assessed using the Alberta Stroke Program Early CT Score (ASPECTS), where a score of 10 indicates the absence of ischemic changes, and 0 indicates diffuse ischemia throughout the entire middle cerebral artery (MCA) territory. The site of arterial occlusion was also determined. Based on CT findings, patients were stratified into groups with pronounced (ASPECTS ≤7, 6 patients) and moderate (ASPECTS ≥8, 17 patients) ischemic changes.

Following thrombectomy, the degree of reperfusion was assessed using the expanded Thrombolysis in Cerebral Infarction (eTICI) scale: 0 – no reperfusion; 3 – complete reperfusion with filling of all distal branches.

Functional outcomes were evaluated prior to hospital discharge using the mRS, classified as favorable (scores 0–3, 13 patients) or unfavorable (scores 4–6, 10 patients). The mRS is a simplified universal tool for assessing patient independence and disability during medical rehabilitation and at 90–115 days post-stroke. A score of 0 indicates no symptoms; a score of 5 indicates severe disability; and 6 indicates death.

The presence of HT was determined by control CT, performed in all patients 24 hours after the procedure or earlier in cases of clinical deterioration by ≥4 NIHSS points.

Invasive mean arterial pressure (MAP) values were analyzed in patient groups stratified by clinical severity, functional outcome, infarct size, and presence of HT.

Study design

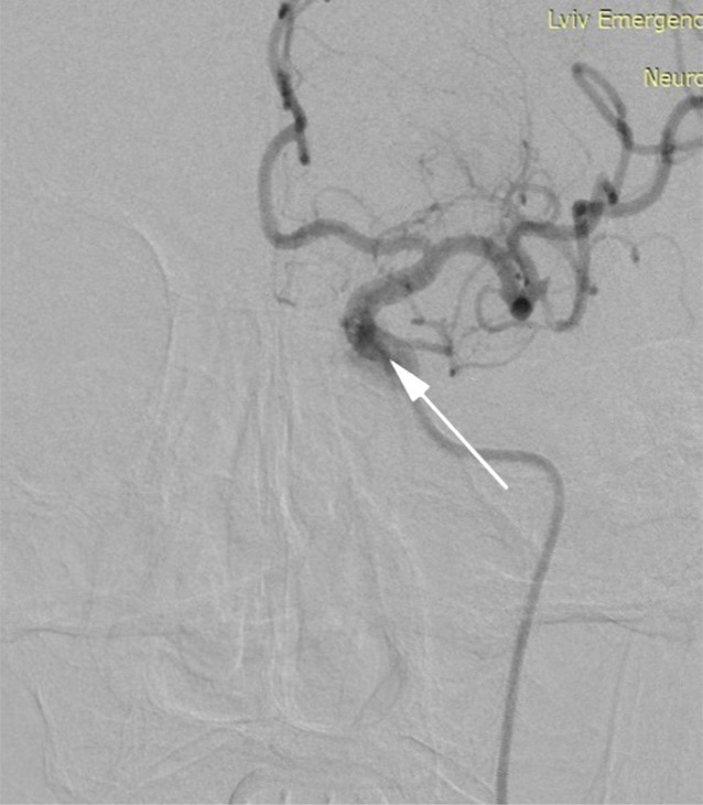
In all cases, direct intraoperative AP measurements were performed in the С1-segment of the internal carotid artery (ICA) proximal to the site of occlusion, both before and after thrombectomy (ICA-pre and ICA-post, respectively), and in the М1-segment of the MCA at the occlusion site prior to MT (MCA-pre) (Fig. 1).

A B C

Fig. 1. Catheter positioning during invasive AP measurement: A – in the internal carotid artery (ICA) before thrombectomy (via aspiration catheter); B – in the middle cerebral artery (MCA) distal to the thrombus (via microcatheter); C – in the ICA after thrombectomy. Arrows indicate the location of the distal catheter markers

 

Invasive AP monitoring was performed under fluoroscopic guidance in the extracranial segment of the main artery (C1 segment of the ICA) using a standard aspiration catheter (length – 132 cm; inner diameter – 1.80 mm) and in the MCA distal to the thrombus using a standard microcatheter (length – 153 cm; inner diameter – 0.81 mm) prior to the deployment of a stent retriever. The results were recorded using an HP Engage Flex Pro portable computer (HP Inc., USA) connected to a compatible pressure transducer (part of the Philips Azurion 7 angiographic hemodynamic monitoring system; Philips Medical Systems Nederland B.V., Best, Netherlands). After calibration, the transducer was connected via a fluid-filled line to the catheter cannula. Calibration of the sensor was performed before each measurement (Fig. 2).

A B

Fig. 2. Invasive AP waveform recording: A – distal to the thrombus in the middle cerebral artery (MCA); B – proximal to the thrombus in the internal carotid artery (ICA)

 

Statistical analysis

Statistical analysis of the obtained data was performed using the software package “Statistica 7.0” (StatSoft Inc., USA). Descriptive statistics were presented as means (M) and standard deviations (SD) or 95% confidence intervals (95% CI) for quantitative variables. Prior to group comparisons, the normality of data distribution was assessed using the Shapiro–Wilk test. All distributions demonstrated no statistically significant deviation from normality (p>0.05), allowing the use of parametric methods. Welch’s t-test was applied to compare means between two independent groups, as it accounts for unequal variances and sample sizes. Paired t-tests (Student’s t-test for dependent samples) were used to compare pre- and post-intervention values within the same subjects. A p-value of<0.05 was considered statistically significant.

Results

Invasive blood pressure monitoring (Table 1) revealed that the MAP in the ICA prior to achieving reperfusion during thrombectomy was 113.9±16.5 mmHg, while after reperfusion it decreased to 103.6±13.7 mmHg. A paired t-test showed a statistically significant difference between these values (t=2.31, p=0.03), indicating a reduction in MAP following the procedure. Additionally, the MAP at the occlusion site (MCA-pre) was 54.8±9.7 mmHg. Comparison of MAP between the ICA and the occlusion site demonstrated a significantly lower pressure in the occluded segment both before and after reperfusion (p<0.001) (Fig. 3).

 

Table 1. Invasive blood pressure measurements, mmHg (M±SD)

Group

Systolic AP

Diastolic AP

MAP

ICA-pre

147,2 ± 18,0

97,2 ± 23,1

113,9 ± 16,5

ICA-post

140,8 ± 29,4

85,0 ± 13,9

103,6 ± 13,7

MCA-pre

66,0 ± 14,8

49,0 ± 12,2

54,8 ± 9,7

Fig. 3. Comparison of invasive arterial pressure values by measurement site

 

The MAP in the ICA prior to reperfusion in the group of patients with moderately severe neurological deficit (NIHSS ≤15 points, n=10) was 119.5±16.7 mmHg (95% CI: 108.7–130.3 mmHg), whereas in the group with severe neurological deficit (NIHSS>15 points, n=13), it was 109.2±14.1 mmHg (95% CI: 100.8–117.7 mmHg). The difference between the groups was not statistically significant (t=1.60, p=0.13).

Following reperfusion, MAP in the ICA for the NIHSS ≤15 group was 107.8±11.7 mmHg (95% CI: 99.9–115.7 mmHg), while for the NIHSS>15 group it was 101.6±14.1 mmHg (95% CI: 94.1–109.1 mmHg). According to Welch’s unequal variance t-test, the difference was not statistically significant (t=1.06, p=0.3).

The mean AP at the occlusion site in the group with NIHSS ≤15 was 59.7±4.7 mmHg (95% CI: 56.3–63.1 mmHg), whereas in the NIHSS>15 group it was 51.0±10.9 mmHg (95% CI: 44.8–57.2 mmHg). This difference was statistically significant (t=2.57, p ≈ 0.02), with a mean difference of 8.62 mmHg (95% CI: 1.48–15.77 mmHg), suggesting a probable association between local perfusion pressure and the degree of neurological impairment (Fig. 4).

Fig. 4. Invasive MAP measurements in the proximal segments of the ICA before and after reperfusion (ICA-pre and ICA-post, respectively), and in the MCA distal to the occlusion site (MCA-pre), in groups with moderately severe (NIHSS ≤15 points) and severe (NIHSS>15 points) neurological deficit

 

When comparing patients with pronounced ischemic changes (ASPECTS ≤7 points, n=6) and those with moderate changes (ASPECTS ≥8 points, n=17), no statistically significant differences in MAP values were observed in the ICA prior to thrombectomy (107.5±15.6 mmHg; 95% CI: 92.0–123.1 mmHg vs. 117.0±16.5 mmHg; 95% CI: 108.5–125.5 mmHg; t=–1.30, p=0.22) or after thrombectomy (101.2±15.3 mmHg; 95% CI: 85.6–116.8 mmHg vs. 106.4±13.4 mmHg; 95% CI: 99.4–113.4 mmHg; t=–0.68, p=0.51).

Analysis of MAP distal to the occlusion site revealed a statistically significant difference: in the group with pronounced ischemic changes, AP was lower (44.3±11.9 mmHg; 95% CI: 32.6–56.0 mmHg) compared to the group with moderate changes (58.5±5.4 mmHg; 95% CI: 55.6–61.4 mmHg; t=–2.82, p=0.03), with a mean difference of 14.1 mmHg (95% CI: 1.73–26.54 mmHg). This may indicate the influence of altered local hemodynamics distal to the occlusion site on the development of ischemic changes, and suggest that more severe flow impairment contributes to greater ischemic injury (Fig. 5).

Fig. 5. Invasive MAP measurements in the proximal segments of the ICA before and after thrombectomy (ICA-pre and ICA-post, respectively), and in the middle cerebral artery distal to the occlusion site (MCA-pre), in groups with pronounced (ASPECTS ≤7 points) and moderate (ASPECTS ≥8 points) ischemic changes

 

It was also found that the MAP in the ICA prior to reperfusion during thrombectomy was slightly higher in patients with a favorable functional outcome (mRS 0–3 points, n=13) — 118.3±15.9 mmHg (95% CI: 108.9–127.7 mmHg), compared to 110.7±13.3 mmHg (95% CI: 101.3–120.1 mmHg) in patients with an unfavorable outcome (mRS 4–6 points, n=10); however, the difference was not statistically significant (t=–1.34, p=0.19).

After reperfusion, MAP in the ICA did not differ significantly between groups — 107.5±13.1 mmHg (95% CI: 100.0–115.1 mmHg) in the mRS 0–3 group and 101.7±13.4 mmHg (95% CI: 92.6–110.8 mmHg) in the mRS 4–6 group (t=–1.09, p=0.28); the difference did not reach statistical significance.

In contrast, MAP distal to the occlusion site was significantly higher in patients with a favorable outcome — 59.2±5.5 mmHg (95% CI: 55.6–62.8 mmHg), compared to 49.0±11.1 mmHg (95% CI: 40.9–57.1 mmHg) in those with an unfavorable outcome. This difference was statistically significant (t=–2.67, p=0.02), with a mean difference of 10.2 mmHg (95% CI: 1.92–18.54 mmHg), indicating a potential association between local perfusion pressure prior to reperfusion and patients' final functional status (Fig. 6).

Fig. 6. Invasive MAP measurements in the proximal segments of the internal carotid artery before and after thrombectomy (ICA-pre and ICA-post, respectively), and in the MCA at the occlusion site (MCA-pre), in groups with favorable (mRS 0–3 points) and unfavorable (mRS 4–6 points) functional outcomes

 

It was found that prior to reperfusion during thrombectomy, MAP did not significantly differ between patients who developed HT (n=7) and those who did not (n=16). In the HT group, MAP was 119.3±11.9 mmHg (95% CI: 106.86–131.72 mmHg), compared to 112.7±20.1 mmHg (95% CI: 102.23–123.14 mmHg) in the non-HT group (t=0.86, p=0.41), indicating no significant differences in hemodynamic parameters prior to thrombectomy.

After thrombectomy, a statistically significant difference was observed: patients with HT had substantially higher MAP — 114.4±9.0 mmHg (95% CI: 104.53–124.33 mmHg), compared to 100.4±13.4 mmHg (95% CI: 91.04–109.84 mmHg) in the non-HT group (t=2.93, p=0.01). The mean difference was 13.99 mmHg (95% CI: 3.97–23.99 mmHg), suggesting that elevated AP in the ICA after thrombectomy was associated with an increased risk of HT.

Analysis of MAP distal to the occlusion site revealed no statistically significant differences between groups: 52.0±7.4 mmHg (95% CI: 44.59–59.41 mmHg) in the HT group vs. 55.1±10.4 mmHg (95% CI: 49.24–60.87 mmHg) in the non-HT group (t=–0.78, p=0.45). This may indicate that the critical factor is the post-intervention AP in the ICA, which reflects the impact of reperfusion on the blood–brain barrier (Fig. 7).

Fig. 7. Invasive MAP measurements in the proximal segments of the ICA before and after thrombectomy (ICA-pre and ICA-post, respectively) and in the MCA at the site of occlusion (MCA-pre) in patients with and without hemorrhagic transformation

 

Discussion

Despite significant advances in the treatment of AIS using MT, the role of local hemodynamics in the region of distal hypoperfusion remains insufficiently studied. Most studies are limited to systemic non-invasive AP measurements, which may not accurately reflect the true perfusion pressure in the penumbra area near the site of occlusion [15]. Invasive MAP measurements and the assessment of hemodynamic parameters obtained from different segments of intra- and extracranial arteries provide additional objective information about cerebral perfusion pressure during endovascular neuroradiological interventions [16].

Recent experimental studies have demonstrated that AP measurements in vessels distal to the occlusion more accurately reflect local perfusion and may reveal significant pressure gradients that remain hidden during systemic measurements [9]. This is of particular importance, as adequate perfusion pressure in the at-risk area can delay infarct progression and preserve neuronal viability in the penumbra [17]. Furthermore, impaired cerebral autoregulation during AIS may lead to discrepancies between local AP and values obtained through non-invasive techniques.

Cerebral blood flow autoregulation, which typically maintains stable cerebral perfusion within a MAP range of 50–150 mmHg, becomes ineffective during acute ischemia, especially in the presence of marked systemic hypotension or hypertension [18]. The status of collateral circulation is a critical modifier of hemodynamics at the level of thrombosis. Well-developed collateral pathways can sustain higher perfusion pressure in distal vessels and thereby reduce infarct core volume, as supported by observations showing that patients with better collateral status had smaller infarcts and more favorable functional outcomes [19]. However, direct invasive measurements at the site of occlusion remain limited due to technical challenges and the risks associated with additional manipulations during MT. Initial clinical series have demonstrated that this technique is both feasible and safe, provided appropriate equipment and experienced teams are available, and may offer valuable insights for tailoring individualized AP management strategies during and after the procedure [20].

The AP distal to the occlusion site may be influenced not only by the efficiency of collateral circulation but also by thrombus permeability—such as residual lumen or porosity. In our study, perfusion through the thrombus was not assessed using CT perfusion imaging or contrast angiography. Therefore, the recorded values should be interpreted as the cumulative result of collateral blood flow and potential residual blood flow through the thrombus. This constitutes a limitation of our study and necessitates further investigation in larger cohorts.

According to the classical Cushing triad, pronounced ischemia and elevated intracranial pressure are expected to trigger a compensatory increase in systemic AP. However, in our study, patients with marked ischemic changes or unfavorable functional outcomes exhibited lower MAP in the distal hypoperfusion zone. This discrepancy may be attributed to the fact that MAP at the site of occlusion is determined not only by the level of systemic hypertension but primarily by the status of collateral circulation and thrombus permeability. Inadequate collateral supply during massive ischemia leads to a significant reduction in distal perfusion pressure, even in the presence of elevated systemic AP. Moreover, the Cushing triad typically manifests during later stages of severe cerebral edema and may not be evident in the acute phase of ischemic stroke.

High AP in the post-reperfusion period may be associated with an increased risk of HT. An elevation in systolic AP, particularly within the first 24 hours following endovascular intervention, can lead to hyperperfusion states, wherein disruption of the blood–brain barrier results in hemorrhage into previously ischemic tissue. Some authors emphasize that not only absolute AP values, but also AP variability, play a significant role in the pathogenesis of HT [12]. Post-reperfusion BP elevation may serve either as a compensatory mechanism to maintain perfusion of the ischemic penumbra or as a marker of severe underlying pathology, including impaired cerebral autoregulation. In some cases, abrupt AP fluctuations or sustained hypertension can cause mechanical damage to the vascular wall and reduce the adhesive properties of endothelial cells, thereby increasing the risk of HT [21]. Individual patient characteristics, such as a history of hypertension or reduced vascular elasticity, may influence the extent to which post-thrombectomy AP contributes to HT. Recurrent AP elevations can lead to structural remodeling of the vascular system, reducing the vessels’ ability to adapt to reperfusion and making them more vulnerable to damage under hyperperfusion conditions [22].

Thus, elevated AP levels and significant variability in the post-reperfusion period are likely important risk factors for the development of HT, as confirmed by our study (p<0.05). Although Welch’s t-test—appropriate for groups with unequal sizes and variances—was used for comparisons, interpretation of the results must be approached with caution due to the relatively small number of patients in the subgroup with ASPECTS ≤7 (n=6), which may limit the statistical power of the analysis. A similar limitation applies to the subgroup of patients who developed HT (n=7), where the small sample size may affect the reliability of the conclusions.

Of particular interest is the observed pattern: higher AP at the site of occlusion was associated with favorable functional outcomes, whereas excessive AP elevation in the ICA after reperfusion was linked to the occurrence of HT. This dual role of AP underscores the complex pathophysiology: moderately elevated local pressure before reperfusion supports collateral circulation and preserves penumbral viability, while excessive systemic pressure following restoration of flow may lead to hyperperfusion, blood–brain barrier disruption, and secondary hemorrhage. Therefore, a balanced approach to AP control during and after thrombectomy is essential, taking into account individual collateral reserve and the condition of brain parenchyma [23].

Although elevated AP is a common finding in AIS, its prognostic significance remains insufficiently studied. It remains unclear whether AP elevation is a direct cause of HT or merely a marker of severe ischemic injury and impaired autoregulation. This uncertainty highlights the need for further studies evaluating AP dynamics during and after thrombectomy and their relationship to HT. While modern techniques have shifted the paradigm of acute stroke treatment and are now considered standard care, optimal hemodynamic management strategies in patients with AIS remain unresolved [24]. Progress in this area may facilitate personalized BP control in interventional neurosurgery, reduce complication rates, and improve functional outcomes for patients with AIS.

Conclusions

  1. Associations were identified between mean arterial pressure, measured invasively in intracranial arteries at different stages of mechanical thrombectomy for acute ischemic stroke, and stroke severity and volume, the occurrence of hemorrhagic transformation, and functional outcomes.
  2. Our findings underscore the importance of investigating local hemodynamics to predict treatment outcomes in acute ischemic stroke and to develop personalized blood pressure management strategies during thrombectomy and in the early postoperative period.

Disclosure

Conflict of interest

The authors declare no conflicts of interest.

Ethical standards

All procedures performed on patients in the course of this study were conducted in accordance with the ethical standards of the institutional and national research ethics committees, the 1964 Helsinki Declaration and its later amendments, or comparable ethical standards.

Informed consent

Informed consent was obtained from each individual participant.

Funding

This research received no external funding or sponsorship.

References

1. Licher S, Darweesh SKL, Wolters FJ, Fani L, Heshmatollah A, Mutlu U, et al. Lifetime risk of common neurological diseases in the elderly population. J Neurol Neurosurg Psy-chiatry. 2019 Feb;90(2):148-156. https://doi.org/10.1136/jnnp-2018-318650

2. Li H, Ye SS, Wu YL, et al. Predicting mortality in acute ischaemic stroke treated with mechanical thrombectomy: analysis of a multicentre prospective registry. BMJ Open. 2021 Apr 1;11(4):e043415. https://doi.org/10.1136/bmjopen-2020-043415

3. Nogueira RG, Jadhav AP, Haussen DC, et al. Thrombectomy 6 to 24 Hours after Stroke with a Mismatch between Deficit and Infarct. N Engl J Med. 2018 Jan 4;378(1):11-21. https://doi.org/10.1056/NEJMoa1706442

4. Kvistad CE, Oygarden H, Logallo N, Thomassen L, Waje-Andreassen U, Moen G, Naess H. A stress-related explanation to the increased blood pressure and its course following ischemic stroke. Vasc Health Risk Manag. 2016 Nov 11;12:435-442. https://doi.org/10.2147/VHRM.S109032

5. Liebeskind DS, Saber H, Xiang B, et al. Collateral Circulation in Thrombectomy for Stroke After 6 to 24 Hours in the DAWN Trial. Stroke. 2022 Mar;53(3):742-748. https://doi.org/10.1161/STROKEAHA.121.034471

6. Chatterjee D, Nagarajan K, Narayan SK, Narasimhan RL. Regional leptomeningeal collateral score by computed tomographic angiography correlates with 3-month clinical outcome in acute ischemic stroke. Brain Circ. 2020 Jun 26;6(2):107-115. https://doi.org/10.4103/bc.bc_55_19

7. Kaloss AM, Theus MH. Leptomeningeal anastomoses: Mechanisms of pial collateral remodeling in ischemic stroke. WIREs Mech Dis. 2022 Jul;14(4):e1553. https://doi.org/10.1002/wsbm.1553

8. Malhotra K, Goyal N, Katsanos AH, et al. Association of Blood Pressure With Outcomes in Acute Stroke Thrombectomy. Hypertension. 2020 Mar;75(3):730-739. https://doi.org/10.1161/HYPERTENSIONAHA.119.14230

9. Spence JD. Blood Pressure Gradients in the Brain: Their Importance to Understanding Pathogenesis of Cerebral Small Vessel Disease. Brain Sci. 2019 Jan 23;9(2):21. https://doi.org/10.3390/brainsci9020021

10. Albers GW, Marks MP, Kemp S, et al. Thrombectomy for Stroke at 6 to 16 Hours with Selection by Perfusion Imaging. N Engl J Med. 2018 Feb 22;378(8):708-718. https://doi.org/10.1056/NEJMoa1713973

11. Shevaga VM, Netliukh AM, Kobyletskyi OYa, Salo VM. Invasive blood pressure monitoring during endovascular embolization of intracranial arterial aneurysms. Ukr Neurosurg J. 2015;(1):59–63. https://doi.org/10.25305/unj.42709

12. Kim TJ, Park HK, Kim JM, et al. Blood pressure variability and hemorrhagic transformation in patients with successful recanalization after endovascular recanalization therapy: A retrospective observational study. Ann Neurol. 2019 Apr;85(4):574-581. https://doi.org/10.1002/ana.25434

13. Mistry EA, Sucharew H, Mistry AM, et al. Blood Pressure after Endovascular Therapy for Ischemic Stroke (BEST): A Multicenter Prospective Cohort Study. Stroke. 2019 Dec;50(12):3449-3455. https://doi.org/10.1161/STROKEAHA.119.026889

14. Maïer B, Delvoye F, Labreuche J, et al. Impact of Blood Pressure After Successful Endovascular Therapy for Anterior Acute Ischemic Stroke: A Systematic Review. Front Neurol. 2020 Oct 29;11:573382. https://doi.org/10.3389/fneur.2020.573382

15. Jansen IG, Mulder MJ, Goldhoorn RB, et al. Impact of single phase CT angiography collateral status on functional outcome over time: results from the MR CLEAN Registry. J Neurointerv Surg. 2019 Sep;11(9):866-873. https://doi.org/10.1136/neurintsurg-2018-014619

16. Shevaga VM, Netlyukh AM, Paienok AV, Kobyletskyi OYa, Salo VM, Matolinets NV. Monitoring of pressure in different segments of cerebral arteries as a method of cerebral perfusion control in surgery of intracranial arterial aneurysms. Ukr Interv Neuroradiol Surg. 2016;(2(16)):43–50.

17. Liebeskind DS, Tomsick TA, Foster LD, et al. Collaterals at angiography and outcomes in the Interventional Management of Stroke (IMS) III trial. Stroke. 2014 Mar;45(3):759-64. https://doi.org/10.1161/STROKEAHA.113.004072

18. Nogueira RC, Beishon L, Bor-Seng-Shu E, Panerai RB, Robinson TG. Cerebral Autoregulation in Ischemic Stroke: From Pathophysiology to Clinical Concepts. Brain Sci. 2021 Apr 16;11(4):511. https://doi.org/10.3390/brainsci11040511

19. Anadani M, Finitsis S, Clarençon F, et al. Collateral status reperfusion and outcomes after endovascular therapy: insight from the Endovascular Treatment in Ischemic Stroke (ETIS) Registry. J Neurointerv Surg. 2022 Jun;14(6):551-557. https://doi.org/10.1136/neurintsurg-2021-017553

20. Varela LB, Díaz Menai S, Escobar Liquitay CM, Burgos MA, Ivaldi D, Garegnani L. Blood pressure management in reperfused ischemic stroke. Cochrane Database Syst Rev. 2025 Mar 4;3(3):CD016085. https://doi.org/10.1002/14651858.CD016085

21. Li X, Simo L, Zhao Q, Kim EG, Ding Y, Geng X. Endothelial Cells and the Blood-Brain Barrier: Critical Determinants of Ineffective Reperfusion in Stroke. Eur J Neurosci. 2025 Feb;61(3):e16663. https://doi.org/10.1111/ejn.16663

22. De Georgia M, Bowen T, Duncan KR, Chebl AB. Blood pressure management in ischemic stroke patients undergoing mechanical thrombectomy. Neurol Res Pract. 2023 Mar 30;5(1):12. https://doi.org/10.1186/s42466-023-00238-8

23. Cherenko TM, Heletiuk YL. Functional recovery in patients with acute ischemic stroke and its dependence on the blood pressure variability. Ukr Sci Med Youth J. 2018;105(1):11–16. https://doi.org/10.32345/USMYJ.1(105).2018.11-16

24. Lylyk P, Netliukh A, Kobyletskyi O, Holub O, Sukhanov A. The influence of vessel curvature and thrombus composition on the effectiveness and outcomes of thrombectomy in the case of acute ischemic stroke. Proc Shevchenko Sci Soc Med Sci. 2023 Dec.22;72(2). https://doi.org/10.25040/ntsh2023.02.12