Original article

Ukrainian Neurosurgical Journal. 2025;31(3):22-29
https://doi.org/10.25305/unj.327169

Neuro-ophthalmological symptoms of compressive optic neuropathy depending on chiasmal position and pituitary adenoma extension

Kateryna S. Iegorova ¹, Oleksii V. Ukrainets ²

¹ Ophthalmology Group, Romodanov Neurosurgery Institute, Kyiv, Ukraine
² Endonasal Skull Base Neurosurgery Department, Romodanov Neurosurgery Institute, Kyiv, Ukraine

Received: 17 April 2025
Accepted: 09 May 2025

Address for correspondence:
Oleksii V. Ukrainets, Endonasal Skull Base Neurosurgery Department, Romodanov Neurosurgery Institute, 32 Platona Maiborody st., Kyiv, 04050, Ukraine, e-mail: ukrainets.md@gmail.com

Objective: to analyze the characteristics of compressive optic neuropathy depending on the anatomical position of the optic chiasm.

Materials and methods: The study was conducted at the A.P. Romodanov Institute of Neurosurgery of the National Academy of Medical Sciences of Ukraine between 2018 and 2024, within the Departments of Endonasal Skull Base Neurosurgery and Neuro-ophthalmology. We retrospectively analyzed data from a consecutive surgical series involving 212 patients (424 eyes) diagnosed with pituitary adenoma (PA) and compressive optic neuropathy manifested by decreased visual acuity and/or visual field defects. The cohort included 116 women (54.7%) and 96 men (45.3%) aged 18 to 76 years (mean age 52.3±11.8 years). Based on the direction of PA growth and the anatomical position of the optic chiasm, patients were classified into three groups:

Group I – anterior growth and/or posterior chiasmal position (34 patients, 16.1%; 68 eyes); Group II – suprasellar growth and/or central chiasmal position (147 patients, 69.3%; 294 eyes); Group III – posterior growth and/or anterior chiasmal position (31 patients, 14.6%; 62 eyes).

Results: No statistically significant difference in mean age was observed among the groups (p>0.05). The mean duration of visual impairment was (14.8±3.9) months in Group I, (8.80±0.95) months in Group II, and (9.1±2.5) months in Group III (p>0.05). Mean visual acuity was 0.60±0.05, 0.60±0.03, and 0.60±0.04, respectively (p>0.05). Mean cumulative loss of light sensitivity was (10.39±0.80) dB, (11.2±0.3) dB, and (10.25±0.80) dB in Groups I, II, and III, respectively (p>0.05). The mean tumor volume of PA was significantly larger in Groups I ((20.4±6.7) cm³) and III ((24.9±5.9) cm³) compared to Group II ((9.02±0.59) cm³) (p<0.05).

Regarding visual field patterns: posterior chiasmal position was associated with superior temporal quadrantanopia (32.4%), central chiasmal position with temporal hemianopia and central scotoma (30.6%), anterior chiasmal position with homonymous hemianopia (35.5%).

Conclusions. In patients with pituitary macroadenomas, visual disturbances may be delayed or absent when the chiasm is located in anterior or posterior positions. This is likely due to reduced compressive impact on the opto-chiasmal complex in these anatomical configurations.

Keywords: neurosurgery; ophthalmology; pituitary adenoma; optic chiasm; compressive optic neuropathy

Introduction

The topographic anatomy of the optic chiasm in relation to adjacent structures is highly variable, which significantly influences the clinical course of lesions in the chiasmal-sellar region (CSR). The position of the optic chiasm relative to the sella turcica is determined by the length of the intracranial segment of the optic nerves (ON) and plays a crucial role in the manifestation of visual disturbances.

Depending on the length of the intracranial portion of the ON, several variants of chiasm positioning are distinguished: normal, prefixed, and postfixed (Fig. 1).

Fig. 1. Schematic illustration of the sella turcica and optic chiasm in sagittal (A, С, E) and axial (B, D, F) planes, showing anterior (A, B), central (C, D), and posterior (E, F) positioning

In the anterior variant, the ONs are “short,” and the chiasm is displaced anteriorly toward the chiasmatic groove, positioned over the planum sphenoidale. In the central variant, the posterior edge of the chiasm lies over the dorsum sellae. In the posterior variant, the ONs are “long,” and the chiasm is displaced posteriorly, partially located behind the dorsum sellae. According to the literature, the central chiasm position is observed in 70–80% of cases, anterior in 9–15%, and posterior in 11–15% [1–6].

The most common cause of primary benign intracranial tumors in the CSR leading to compression of the opto-chiasmatic complex (OCC) is a pituitary adenoma (PA) [7,8]. According to the current WHO classification, PAs are defined as PitNETs (pituitary neuroendocrine tumors arising from epithelial cells of the anterior pituitary lobe—adenohypophysis) [9]. Various authors report that PAs account for 10–25% of all intracranial mass lesions, and according to autopsy studies, the prevalence ranges from 14.4% to 16.9% [10–14].

In hormonally active PAs, hormone hypersecretion leads to severe clinical diseases and syndromes (acromegaly, Cushing's disease, hyperprolactinemia), allowing diagnosis at the microadenoma stage (<10 mm). In contrast, hormonally inactive PAs (HIPAs) may remain clinically silent until they grow into macroadenomas (>10 mm) and cause chiasmal compression. In cases of anterior or posterior chiasmal positions, the onset of clinical symptoms may be delayed due to the unique pattern of tumor extension [15].

Preoperative assessment of chiasm positioning is crucial for neurosurgeons in surgical planning, particularly for determining the optimal timing and strategy of intervention.

However, the specific features of compressive optic neuropathy depending on chiasm position remain insufficiently explored.

Objective: to analyze the characteristics of compressive optic neuropathy in relation to different variants of optic chiasm positioning.

Materials and methods

Study participants

The study was conducted at the Romodanov Institute of Neurosurgery of the National Academy of Medical Sciences of Ukraine between 2018 and 2024, based on the Departments of Endonasal Skull Base Neurosurgery and the Neuro-ophthalmology Group. A consecutive surgical series of 212 patients (424 eyes) with pituitary adenomas (PAs) and compressive optic neuropathy associated with decreased visual acuity and/or visual field defects was analyzed. Of the patients, 116 (54.7%) were female and 96 (45.3%) were male. The age of participants ranged from 18 to 76 years, with a mean age of 52.3 ± 11.8 years.

Inclusion criteria:

- presence of visual disturbances (reduced visual acuity and/or visual field defects);

- surgical decompression of the OCC via endoscopic tumor resection (either total or subtotal resection).

Exclusion criteria:

- cases of tumor regrowth;

- evidence of intracranial hypertension or comorbid ophthalmological disorders;

- prior radiotherapy or radiosurgery;

- parasellar tumor extension;

- pituitary apoplexy.

Group characteristics

Based on the direction of PA extension and the position of the optic chiasm, the 212 patients were divided into three groups: Group I – anterior tumor growth and/or posterior chiasmal position (34 patients [16.1%], 68 eyes); Group II – suprasellar tumor growth and/or central chiasmal position (147 patients [69.3%], 294 eyes); Group III – retrosellar tumor growth and/or anterior chiasmal position (31 patients [14.6%], 62 eyes).

The variants of PA extension in relation to chiasmal positioning are illustrated in Fig. 2–4.

A B

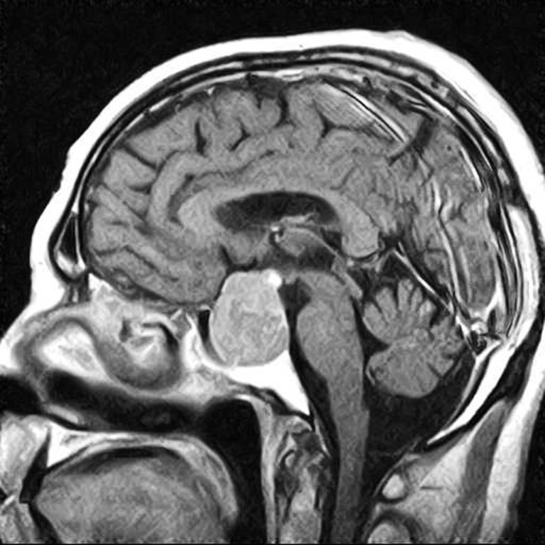
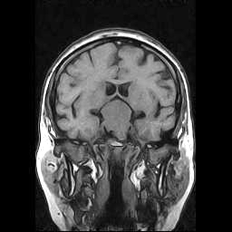
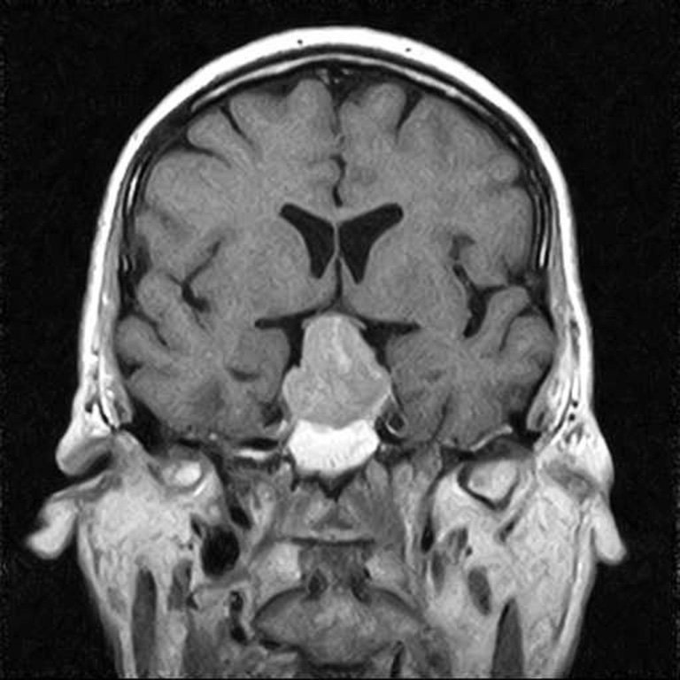
Fig. 2. Patient P., 64 years old, HIPA with suprasellar extension, central chiasmal position. Brain MRI: A – coronal projection; B – sagittal projection

A B

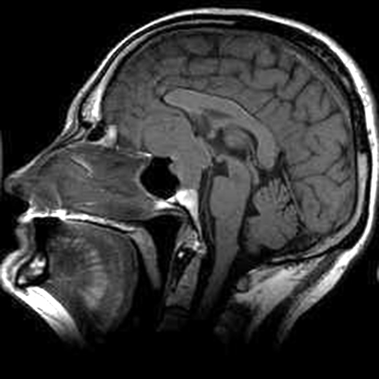
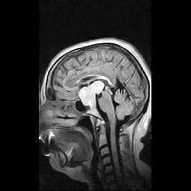
Fig. 3. Patient B., 58 years old, HIPA with retrosellar extension, anterior chiasmal position. Brain MRI: A – sagittal projection; B – coronal projection

A B

Fig. 4. Patient M., 54 years old, HIPA with antesellar extension, posterior chiasmal position. Brain MRI: A – sagittal projection; B – coronal projection

Study design

All patients underwent a comprehensive clinical-neurological and ophthalmological evaluation, complemented by neuroimaging techniques.

The ophthalmological examination included visual acuity testing with optimal correction (visometry), slit-lamp biomicroscopy, tonometry, automated static perimetry, and ophthalmoscopy. Additionally, direct and consensual pupillary light reflexes were assessed, as well as pupil width and symmetry. Visual acuity was graded as follows: 1 – normal (1.0); 2 – mild reduction (0.7–0.9); 3 – moderate (0.4–0.6); 4 – severe (0.1–0.3); 5 – profound (<0.1); 6 – blindness (0).

Automated static perimetry (“Centerfield 2”, Germany) was used to determine the localization of defects and to calculate the perimetric index of mean defect (MD), reflecting cumulative light sensitivity loss. Visual field loss severity based on MD was classified as: 0 – normal visual field; 1 – mild sensitivity loss (MD –2… to –4 dB); 2 – moderate (MD –4… to –12 dB); 3 – severe (MD –12… to –20 dB); 4 – profound (MD>–20 dB).

The severity of chiasmal syndrome (CS) was assessed considering both visual acuity and visual field loss (according to MD indicator) in both eyes: mild CS: visual acuity 1.0 in both eyes, MD up to –4 dB; moderate CS: visual acuity>0.1 in both eyes, MD –4… to –12 dB; severe CS: visual acuity<0.1 in at least one eye, MD>–12 dB in at least one eye.

Chiasmal syndrome was considered symmetric when differences in visual acuity and the average total loss of photosensitivity between both eyes fell within the same stage. It was considered asymmetric if there was a one-stage difference, and markedly asymmetric if the difference was two stages or more.

Neuroimaging methods were used to determine the localization, extent, and size of the CSR, the presence of hemorrhagic or cystic components, lateralization, the relationship with adjacent structures, and the chiasmal configuration (confirmed intraoperatively).

In cases of significant PA extension, the classification by G. Yasargil was applied to analyze the tumor growth pattern. Suprasellar extension is characterized by upward growth leading to compression of the OCC; parasellar extension occurs laterally toward the cavernous sinus; infrasellar growth extends into the sphenoid sinus; antesellar and retrosellar extensions indicate growth anterior and posterior to the sella turcica, respectively. Diffuse growth is defined by multidirectional tumor extension [16].

Following the measurement of the neoplasm in three orthogonal planes, the tumor volume was estimated using the principle developed by mathematician B. Cavalieri, and calculated according to the following formula [17]:

Volume (cm³) = (4/3) 𝜋 × (a/2) × (b/2) × (c/2)

where a represents the width in the coronal plane, b – the height in the coronal plane, and c – the length in the sagittal plane.

The study was conducted in accordance with the principles of bioethics and the provisions of the Declaration of Helsinki on human rights. Ethical approval was obtained from the Ethics Committee of the Romodanov Institute of Neurosurgery of the National Academy of Medical Sciences of Ukraine (Minutes No. 5 dated December 13, 2019). All patients were informed about the specifics of the diagnostic and therapeutic procedures and provided written informed consent.

Statistical analysis

The collected data were entered into Microsoft Excel and analyzed using “SPSS Statistics version 30”. The results are presented as the arithmetic mean with standard deviation (M±SD). To determine the statistical significance (p) of differences between independent groups, the Student's t-test for related samples was applied. A p-value of<0.05 was considered statistically significant. To assess the distribution of categorical variables, Pearson’s chi-square (χ²) test was used; in cases with small sample sizes, Fisher’s exact test was applied.

Results

All tumors demonstrated growth directed toward the OCC, resulting in compression of the anterior visual pathway and subsequent visual disturbances (reduced visual acuity and/or visual field defects), which predominated in the clinical picture of most patients. The duration of visual symptoms ranged from 2 weeks to 6 years, with the decline in vision being progressive in nature. A total of 25 patients (11.8%) did not report any vision-related complaints; however, changes in visual acuity and/or visual field defects were detected during ophthalmological examination. Distribution by hormonal activity was as follows: HIPAs were diagnosed in 177 patients (83.5%), prolactinomas in 20 (9.5%), somatotropinomas in 13 (6.1%), and corticotropinomas in 2 (0.9%).

Visual acuity in Group I was distributed as follows: 1.0 – 22 eyes (32.4%), 0.7–0.9 – 15 eyes (22.1%), 0.4–0.6 – 12 eyes (17.6%), 0.1–0.3 – 9 eyes (13.2%)<0.1 – 10 eyes (14.7%). Visual field defects included: superior temporal quadrantanopia – 22 eyes (32.4%), partial temporal hemianopia – 10 eyes (14.7%), complete temporal hemianopia – 8 eyes (11.7%), temporal hemianopia with central scotoma – 15 eyes (22.1%), central scotoma with temporal deviation – 1 eye (1.5%), residual nasal visual field – 6 eyes (8.8%), undetectable visual field – 4 eyes (5.9%), no changes – 2 eyes (2.9%). Primary descending optic atrophy (OA) was observed in 18 patients (52.9%), including bilateral involvement in 13 patients (26 eyes) and unilateral in 5 patients (5 eyes). Based on the analysis of visual acuity and visual field parameters in both eyes, asymmetric chiasmal syndrome (CS) was found in 14 patients (41.2%), markedly asymmetric in 12 (35.3%), and symmetric in 8 (23.5%). CS severity distribution in Group I: mild – 3 patients (8.8%), moderate – 15 patients (44.1%), severe – 16 patients (47.1%).

Visual acuity in Group II (147 patients, 294 eyes) was distributed as follows: 1.0 – 81 eyes (27.5%), 0.7–0.9 – 49 eyes (16.7%), 0.4–0.6 – 70 eyes (23.8%), 0.1–0.3 – 69 eyes (23.5%),<0.1 – 25 eyes (8.5%). Visual field defects included: superior temporal quadrantanopia – 4 eyes (1.4%), partial temporal hemianopia – 45 eyes (15.3%), complete temporal hemianopia – 71 eyes (24.1%), temporal hemianopia with central scotoma – 90 eyes (30.6%), central scotoma with temporal deviation – 63 eyes (21.4%), residual nasal visual field – 15 eyes (5.1%), undetectable visual field – 1 eye (0.4%), no changes – 5 eyes (1.7%). Optic atrophy was confirmed in 105 patients (71.4%), with bilateral involvement in 72 patients (144 eyes) and unilateral in 33 (33 eyes). Symmetric CS was observed in 63 patients (42.9%), compared to asymmetric in 39 (26.5%) and markedly asymmetric in 45 (30.6%). CS severity distribution: mild – 7 patients (4.8%), moderate – 66 patients (44.9%), severe – 74 patients (50.3%).

Visual acuity in Group III (31 patients, 62 eyes) was distributed as follows: 1.0 – 17 eyes (27.4%), 0.7–0.9 – 17 eyes (27.4%), 0.4–0.6 – 10 eyes (16.1%), 0.1–0.3 – 13 eyes (21.0%),<0.1 – 5 eyes (8.1%). Visual field defects were as follows: homonymous hemianopia – 22 eyes (35.5%), partial temporal hemianopia – 5 eyes (8.1%), complete temporal hemianopia – 3 eyes (4.8%),temporal hemianopia with central scotoma – 12 eyes (19.4%), central scotoma with temporal deviation – 18 eyes (29.0%), residual visual field in the nasal half – 1 eye (1.6%), no changes – 1 eye (1.6%). OA was diagnosed in 19 patients (61.3%): bilateral in 13 patients (26 eyes) and unilateral in 6 patients (6 eyes). Symmetric chiasmal syndrome (CS) was predominant in 14 patients (45.2%), followed by asymmetric in 9 patients (29.0%) and markedly asymmetric in 8 patients (25.8%). CS severity in Group III was as follows: mild – 2 patients (6.5%), moderate – 15 patients (48.4%), severe – 14 patients (45.1%).

The clinical characteristics of the study groups are summarized in Table 1.

Table 1. Clinical characteristics of the study groups with compressive optic neuropathy depending on the direction of pituitary adenoma extension and chiasmal position

Parameter

Group І, n=34

Group ІІ, n=147

Group ІІІ, n=31

Р value

Mean age, years (M±SD)*

48,4±13,4

52,8±11,4

54,2±11,2

P1-2>0,05
P1-3>0,05
P2-3>0,05

Duration of visual disturbances, months, (M±m)*

14,8±3,9

8,8±0,95

9,1±2,5

P1-2>0,05
P1-3>0,05
P2-3>0,05

Visual acuity (M±m)*

0,6±0,05

0,6±0,03

0,6±0,04

P1-2>0,05
P1-3>0,05
P2-3>0,05

MD, dB (M±m)*

10,39±0,80

11,2±0,3

10,25±0,80

P1-2>0,05
P1-3>0,05
P2-3>0,05

PA volume, cm³, (M±m)*

20,4±6,7

9,02±0,59

24,9±5,9

P1-2<0,05
P1-3>0,05
P2-3<0,05

Note: * Based on Student’s t-test.

According to the analysis, no statistically significant differences were found between the study groups in terms of mean age (p>0.05), mean duration of visual disturbances, mean visual acuity, or average group-level light sensitivity loss (see Table 1). The distribution of CS types varied across groups: in Group I, the asymmetric type was predominant (41.2%), whereas in Groups II and III, the symmetric type was more frequent (42.9% and 45.2%, respectively). Comparison of the groups revealed that moderate CS occurred most commonly in Group III (48.4%), while severe CS was more frequently observed in Groups I and II (47.1% and 50.3%, respectively). The highest incidence of OA was recorded in Group II (71.4%), compared to 52.9% in Group I and 61.3% in Group III.

The mean volume of the PA was significantly greater in Groups I (20.4±6.7 cm³) and III (24.9±5.9 cm³) compared to Group II (9.02±0.59 cm³; p<0.05).

Discussion

We analyzed the characteristics of compressive optic neuropathy (CON) depending on the position of the optic chiasm in a large cohort of patients with PAs. This aspect has not been adequately explored in the literature, as existing data on chiasmal positioning are primarily derived from autopsy studies. Only isolated clinical cases of homonymous hemianopia associated with CSR tumors, as well as reports involving anterior and posterior chiasmal positions, have been described in the literature [18–20].

It is well established that hormonally active PAs are typically diagnosed at the microadenoma stage (<10 mm) due to the manifestation of severe clinical syndromes induced by hormone hypersecretion, such as acromegaly, Cushing’s disease, and hyperprolactinemia. At this stage, their small size precludes chiasmal compression. In contrast, HIPAs often remain clinically silent for an extended period and cause compression of the optic chiasm only after reaching sizes>10 mm [15]. The lack of hormonal activity complicates early detection at small tumor sizes. In our study, HIPAs were identified in 83.5% of patients, which is consistent with the findings of Gnanalingham et al. (2005) [21].

In cases of antesellar extension and/or posterior chiasmal position, CS was characterized by an asymmetric pattern (41.2%), a severe course (47.1%), with a predominance of superior temporal quadrantanopia (32.4%) and OA (52.9%). In cases of suprasellar extension and/or central chiasmal position, CS manifested symmetrically (42.9%), with a severe course (50.3%), commonly presenting with temporal hemianopia with central scotoma (30.6%) and OA (71.4%). In cases of retrosellar extension and/or anterior chiasmal position, CS was associated with a symmetric pattern (45.2%), a moderate course (48.4%), and predominance of homonymous hemianopia (35.5%) and OA (61.3%). No statistically significant differences were found between groups in terms of mean age, mean visual acuity, or MD values (p>0.05).

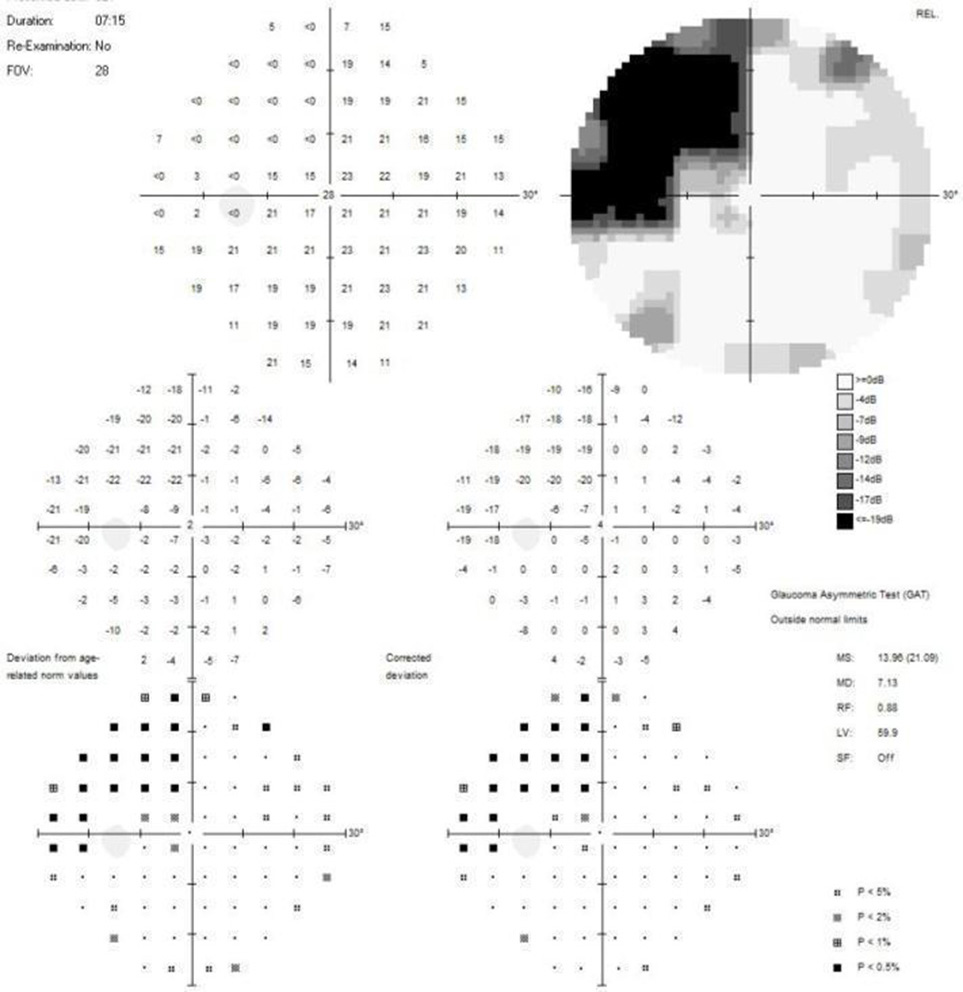
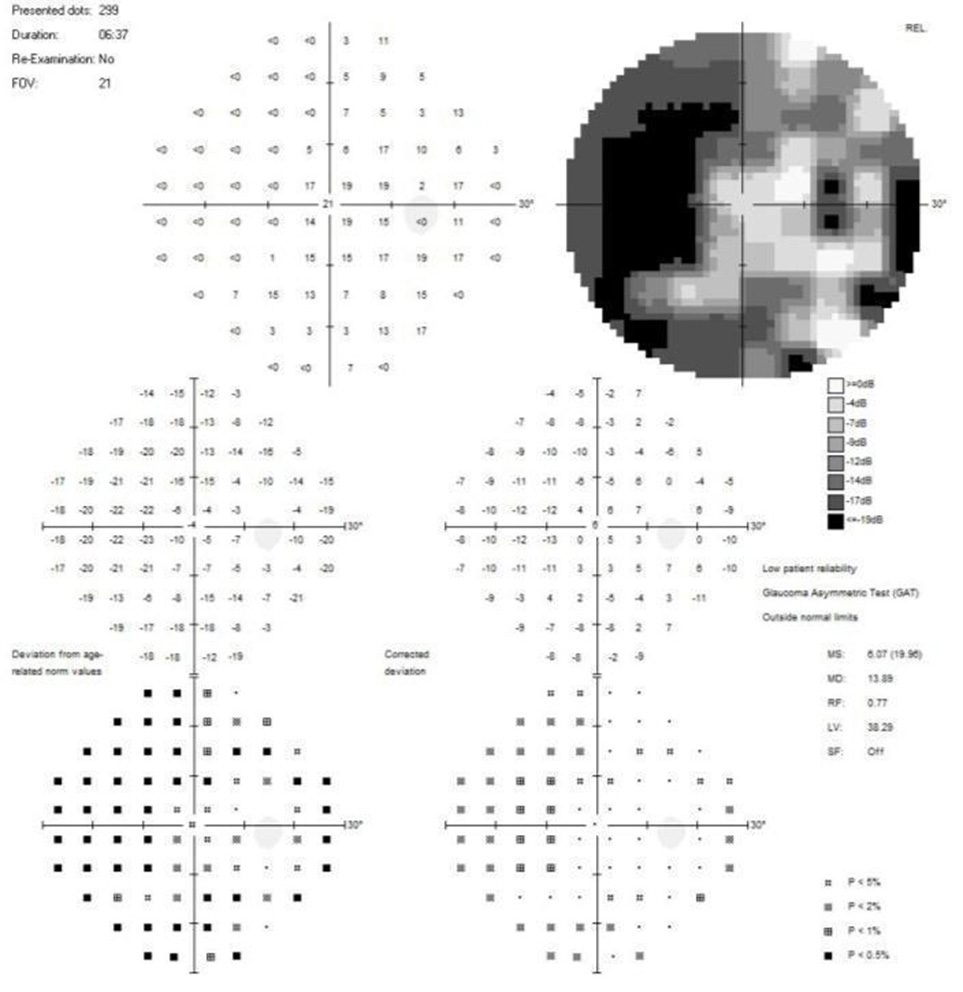
Bitemporal heteronymous hemianopia is considered the classical visual field defect resulting from involvement of decussating optic nerve fibers. However, the specific visual field defect pattern depends on the topographic relationship between the optic chiasm and the tumor (Figs. 5–7). In posterior chiasmal positions, superior temporal quadrantanopia predominated (32.4%). In central positions, the typical temporal hemianopia with central scotoma was most common (30.6%). In anterior positions, homonymous hemianopia prevailed (35.5%).

A B

Fig. 5. Automated static perimetry. Superior quadrantic bitemporal hemianopia

A B

Fig. 6. Automated static perimetry. Bitemporal hemianopia with central scotoma

A B

Fig. 7. Automated static perimetry: Left-sided homonymous hemianopia

The occurrence of homonymous hemianopia in PAs is atypical and results from compression of the posterior chiasm and/or optic tracts, clinically mimicking visual deficits typically seen in retrochiasmal lesions.

Based on the results of the study, a shorter duration of visual disturbances was observed in patients with a centrally positioned optic chiasm, although the difference did not reach statistical significance (p>0.05). At the same time, the mean volume of PAs was significantly larger in cases with anterior and posterior chiasmal positions compared to the central position (p<0.05). These findings indicate that tumors may grow to giant sizes without causing ophthalmological symptoms during the macroadenoma stage (10–40 mm), which may be explained by the presence of free space for PA in anterior and posterior chiasmal positions, unlike the central chiasmal location.

Conclusions

In patients with pituitary macroadenoma, the onset of visual impairment may be delayed or entirely absent in cases of anterior or posterior chiasmal positions, due to reduced compressive effects on the opto-chiasmatic complex.

Disclosure

Conflict of interest

The authors declare no conflicts of interest.

Ethical standards

All procedures performed in this study involving human participants were in accordance with the ethical standards of the institutional and national research committees, the 1964 Helsinki Declaration and its later amendments, or comparable ethical standards.

Informed Consent

Informed consent was obtained from all individual participants included in the study.

Funding

This study received no external funding or sponsorship.

References

1. Rhoton AL Jr. The sellar region. Neurosurgery. 2002 Oct;51(4 Suppl):S335-74. https://doi.org/10.1097/00006123-200210001-00009

2. Griessenauer CJ, Raborn J, Mortazavi MM, Tubbs RS, Cohen-Gadol AA. Relationship between the pituitary stalk angle in prefixed, normal, and postfixed optic chiasmata: an anatomic study with microsurgical application. Acta Neurochir (Wien). 2014 Jan;156(1):147-51. https://doi.org/10.1007/s00701-013-1944-1

3. Schiefer U, Isbert M, Mikolaschek E, Mildenberger I, Krapp E, Schiller J, Thanos S, Hart W. Distribution of scotoma pattern related to chiasmal lesions with special reference to anterior junction syndrome. Graefes Arch Clin Exp Ophthalmol. 2004 Jun;242(6):468-77. https://doi.org/10.1007/s00417-004-0863-5

4. Miller NR, Newman NJ, Biousse V, Kerrison JB. Walsh & Hoyt's Clinical Neuro-Ophthalmology, sixth ed. Lippincott Williams & Wilkins, Philadelphia; 2005. 320 p.

5. Renn WH, Rhoton AL Jr. Microsurgical anatomy of the sellar region. J Neurosurg. 1975 Sep;43(3):288-98. https://doi.org/10.3171/jns.1975.43.3.0288

6. Bergland RM, Ray BS, Torack RM. Anatomical variations in the pituitary gland and adjacent structures in 225 human autopsy cases. J Neurosurg. 1968 Feb;28(2):93-9. https://doi.org/10.3171/jns.1968.28.2.0093

7. Ezzat S, Asa SL, Couldwell WT, Barr CE, Dodge WE, Vance ML, McCutcheon IE. The prevalence of pituitary adenomas: a systematic review. Cancer. 2004 Aug 1;101(3):613-9. https://doi.org/10.1002/cncr.20412

8. Wang EW, Zanation AM, Gardner PA, Schwartz TH, Eloy JA, Adappa ND, Bettag M, Bleier BS, Cappabianca P, Carrau RL, Casiano RR, Cavallo LM, Ebert CS Jr, El-Sayed IH, Evans JJ, Fernandez-Miranda JC, Folbe AJ, Froelich S, Gentili F, Harvey RJ, Hwang PH, Jane JA Jr, Kelly DF, Kennedy D, Knosp E, Lal D, Lee JYK, Liu JK, Lund VJ, Palmer JN, Prevedello DM, Schlosser RJ, Sindwani R, Solares CA, Tabaee A, Teo C, Thirumala PD, Thorp BD, de Arnaldo Silva Vellutini E, Witterick I, Woodworth BA, Wormald PJ, Snyderman CH. ICAR: endoscopic skull-base surgery. Int Forum Allergy Rhinol. 2019 Jul;9(S3):S145-S365. https://doi.org/10.1002/alr.22326

9. Asa SL, Mete O, Perry A, Osamura RY. Overview of the 2022 WHO Classification of Pituitary Tumors. Endocr Pathol. 2022 Mar;33(1):6-26. https://doi.org/10.1007/s12022-022-09703-7

10. Rutkowski MJ, Chang KE, Cardinal T, Du R, Tafreshi AR, Donoho DA, Brunswick A, Micko A, Liu CJ, Shiroishi MS, Carmichael JD, Zada G. Development and clinical validation of a grading system for pituitary adenoma consistency. J Neurosurg. 2020 Jun 5;134(6):1800-1807. https://doi.org/10.3171/2020.4.JNS193288

11. Abouaf L, Vighetto A, Lebas M. Neuro-ophthalmologic exploration in non-functioning pituitary adenoma. Ann Endocrinol (Paris). 2015 Jul;76(3):210-9. https://doi.org/10.1016/j.ando.2015.04.006

12. Sivakumar W, Chamoun R, Nguyen V, Couldwell WT. Incidental pituitary adenomas. Neurosurg Focus. 2011 Dec;31(6):E18. https://doi.org/10.3171/2011.9.FOCUS11217

13. Marigil Sanchez M, Karekezi C, Almeida JP, Kalyvas A, Castro V, Velasquez C, Gentili F. Management of Giant Pituitary Adenomas: Role and Outcome of the Endoscopic Endonasal Surgical Approach. Neurosurg Clin N Am. 2019 Oct;30(4):433-444. https://doi.org/10.1016/j.nec.2019.05.004

14. Westall SJ, Aung ET, Kejem H, Daousi C, Thondam SK. Management of pituitary incidentalomas. Clin Med (Lond). 2023 Mar;23(2):129-134. https://doi.org/10.7861/clinmed.2023-0020

15. Melmed S, Kaiser UB, Lopes MB, Bertherat J, Syro LV, Raverot G, Reincke M, Johannsson G, Beckers A, Fleseriu M, Giustina A, Wass JAH, Ho KKY. Clinical Biology of the Pituitary Adenoma. Endocr Rev. 2022 Nov 25;43(6):1003-1037. https://doi.org/10.1210/endrev/bnac010

16. Yasargil M.G. Microsurgery Applied to Neurosurgery. Stuttgart: Thieme, 1969.

17. Lee JP, Park IW, Chung YS. The volume of tumor mass and visual field defect in patients with pituitary macroadenoma. Korean J Ophthalmol. 2011 Feb;25(1):37-41. https://doi.org/10.3341/kjo.2011.25.1.37

18. Nishimura M, Kurimoto T, Yamagata Y, Ikemoto H, Arita N, Mimura O. Giant pituitary adenoma manifesting as homonymous hemianopia. Jpn J Ophthalmol. 2007 Mar-Apr;51(2):151-3. https://doi.org/10.1007/s10384-006-0419-9

19. Foroozan R. Chiasmal syndromes. Curr Opin Ophthalmol. 2003 Dec;14(6):325-31. https://doi.org/10.1097/00055735-200312000-00002

20. Glisson CC. Visual loss due to optic chiasm and retrochiasmal visual pathway lesions. Continuum (Minneap Minn). 2014 Aug;20(4 Neuro-ophthalmology):907-21. https://doi.org/10.1212/01.CON.0000453312.37143.d2

21. Gnanalingham KK, Bhattacharjee S, Pennington R, Ng J, Mendoza N. The time course of visual field recovery following transphenoidal surgery for pituitary adenomas: predictive factors for a good outcome. J Neurol Neurosurg Psychiatry. 2005 Mar;76(3):415-9. https://doi.org/10.1136/jnnp.2004.035576

22. Guk MO, Ukrainets OV. Endoscopic endonasal surgical management of giant pituitary adenomas with extension into ventricle system. Ukr Neurosurg J. 2023Dec.26;29(4):13-21. https://doi.org/10.25305/unj.286547